当院院長の考えをぜひ一度、お読みください!
表面麻酔を使用し歯茎をしびれた状態から可能な限り細い針を用いて、それにより痛みを感じない治療ご提供します。
当院では可能な限り歯を抜く選択肢を選ばない治療を心がけております。それには拡大鏡を用いた治療方法があるためです。
“なぜ?”“どうして?”の疑問に対して患者様に理解していただくことを一番重要視しております。
当院では、お悩みを抱え来院された患者様に対して大切にしていること、それは現在のお口の中の今の状態をきっちり理解していただけるよう、説明することを重要視しています。患者様によってご要望は様々ですが、ご希望していただいた方へはむし歯・歯周病の検査・またお口の中の写真を撮影し、可能な限り現在の状況をモニターに映し、可視化を目指しています。その診断結果をまずはしっかりと説明し、“なぜそうなったのか”という原因の追究、結果をご説明いたします。もちろん、お口の中の状態を他人に見られたくないというお声も今まで多数お聞きしました。そのご希望に沿うよう、完全個室を完備し、患者様のプライバシーの配慮に努めております。その上で、患者様のご要望に耳を傾け、納得のいく治療計画をご提案いたします。
保険・自費問わず質の高い診療を目指します
当院の治療は、国が定めた制限の元で行う「保険診療」、制限が無い「保険外診療(自由診療)」どちらにも対応しております。
自由診療は使用する材料や治療方法に制限が無い為、歯科医師側の技術が高ければ質の高い治療を受けることができます。
しかし、保険診療であっても適切な処置を施すことで治療の質を高めることは可能です。
当院では、治療内容に対し、自費・保険それぞれのご説明をさせていただき、最終的に患者様に選択を尊重し治療をさせていただきます。
自由診療だからしっかり行い、保険診療だから手を抜くということは一切ございません。
保険診療であっても下記のように最善の処置を行うように努めております。下記がその一例になります。
CR(コンポジットレジン)
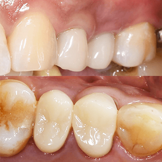
むし歯に罹患した場合、その大きさが小さい場合は被せ物ではなく、その日にコンポジットレジンという白いプラスチックを詰めて、1日で治療を終了することができる治療法です。
具体例です。黒くなっている部分は、神経に及ぶまでの大きなむし歯です。こちらは、むし歯治療、神経の治療を併用しました。
むし歯が大きかったのですが、保険治療のみで修復できた症例です。
症例にもよりますが、ここまでの仕上がりを実現することができました。1日で、終了しております。
(適応できる範囲には限りはあります。)
CAD/CAM(キャドカム)冠
むし歯になり、被せ物をしなければならない状況になった場合、通常奥歯に関して、保険診療では銀歯しか認められていませんでした。
ただ、保険診療でも最近、どの歯なら良いとルールは決められていますが(具体的には前から数えて4番目、5番目の歯)白い被せ物を入れることができるようになりました。
当院ではその治療にも対応しております。ただ、強度として、セラミックなどと比較すると、割れやすいなどの欠点もありますので、十分にご説明の上、最良の治療をご提案いたします。
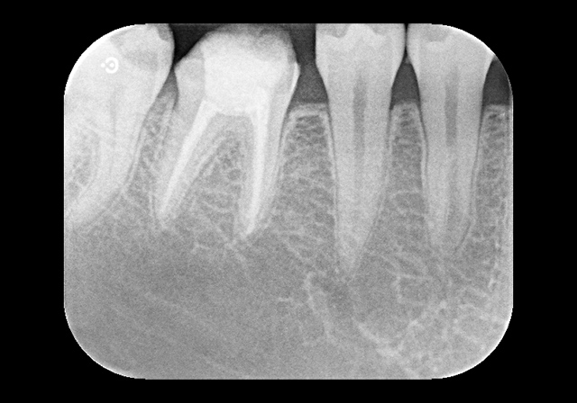
根管治療~再治療のない根管治療を目指して~
歯が痛くなり、歯医者で神経を取る治療を受けた方は多いのではないでしょうか。
一般的には針金のようなものを用いて神経を除去、その後、最終的なお薬を詰めて終了です。
よく患者様から“神経をとった歯だからもう痛くならないですか?”との質問を受けます。その答えは“NO”です。実際に歯の根管はこのような複雑な形態をしています。この治療をおろそかにしてしまうと、根管に残った神経の残骸など炎症物質により、次は化膿して急激な痛みを引き起こすことがあるのです。
そのため、治療には時間もかかりますが、当院では様々な器具や取り組みを行い、再治療の可能性をできる限り少なくするよう、神経の治療(根管治療)を精密に行えるように努めております。
01. 拡大鏡の使用
視野の拡大・光源の確保により、しっかりと見える状態を確保し治療を行います。
02. ラバーダム防湿
根管に唾液が混入しないよう、歯の周りにゴムをかけて治療します。
03. ニッケルチタンファイルの使用
これにより、格段に治療時間を短縮でき、的確な治療を行えます。
04. 超音波チップ・薬剤の使用
細菌感染がおこった根管(以前治療した歯の根管を再治療する場合など)では、根管内の細菌の除去を行う必要があります。通常の針金を用いただけでは限界があり、ダイヤモンドの超音波チップの使用、また薬剤を併用して細菌の除去に努めています。
当院では、根管治療を行う際に上記の取り組みを行い再治療の無い根管治療を目指しております。
「痛み」や「不安」を極力取り除く医院創りを行います
歯科医院へ足が遠のく原因の一つに、治療や麻酔の際に起こる「痛み」や歯科医院特有の雰囲気による「不安」なのではないでしょうか?
そういった過去の経験やイメージより、歯科医院へ行けなくなってしまった方を多く見てきました。
実は院長の私自身も、元々歯科医院がとても苦手でした。
そんな経験もあり、自分の歯科医院を開業する時は、そういった歯科医院のネガティブな部分を極力排除したいという想いで当院を起ち上げました。
「痛み」を取り除く為の取り組み
麻酔の前に行う「表面麻酔」をすべての患者様に実施します
治療を行う際に、歯自体の神経を麻痺させる為に、「浸潤麻酔」や「伝達麻酔」といった注射がどうしても必要になります。
歯科治療の痛みの一つに「注射時の痛み」があります。
これを抑えるために、歯茎に直接、麻酔薬を塗る「表面麻酔」という処置を行います。
「表面麻酔」をすることで、麻酔の痛みもほぼなくなります。この処置は麻酔を行う場合は全ての患者様に行います。
細い針を使用します
麻酔で使用する注射針も、実は太いものから細いものまで様々あります。
当院では、もっとも細い針とされる33Gという規格の針を使用しております。
表面麻酔で感覚の鈍った状態で、この細い針を使用すると個人差はありますが、何か当たったくらいの感覚で痛みを感じることなく麻酔が可能になります。
麻酔液を温め痛みの感覚をほぼなくします
表面麻酔で注射時の痛みを無くしても、麻酔液が冷たいと歯茎は敏感に反応してしまいます。
そこで、麻酔薬の温度を体温と同じくらいに温めることで、注射液が入っていく感覚を抑えることが出来ます。
電動麻酔器を使用しゆっくりと一定速度で麻酔液を注入していきます
麻酔液を注入する際に手動で行うと、注入時の圧力にムラができて、痛みを感じてしまうことがあります。
電動麻酔器を使うことで、注入速度と圧力を制御することができ、注入時のムラで起こる痛みを無くすことができます。
「痛み」を取り除く為の取り組み
良い意味で歯科医院らしさをなくした院内
院内は、木目調の内装設計で、木の温かみのある居心地の良い雰囲気を作っております。
来院した時の緊張感が少しでも和らげられたらと考えて設計いたしました。
スタッフ全員がおもてなしの心で対応します
初めて訪れる歯科医院は、少なからず不安や緊張はあるかと思います。
そういった患者様の不安や緊張を少しでも取り除くために、スタッフ全員が患者様の気持ちになり、親身に対応できるよう常に心掛けております。
プライバシーに配慮した診療
当院で大切にしていることの一つに「患者様とのコミュニケーション」がありますが、良いコミュニケーションを取るには、患者様が心を開き安心してお悩みやご要望を言いやすい環境が大切だと考えております。
当院では、個室の診療室や個室のカウンセリングルームなどを設け、周囲を気にせずじっくりお話しいただける環境を整えております。
「痛み」や「不安」を極力取り除く医院創りを行います
当院では、お悩みを抱え来院された患者様に対して大切にしていること、それは現在のお口の中の今の状態をきっちり理解していただけるよう、説明することを重要視しています。患者様によってご要望は様々ですが、ご希望していただいた方へはむし歯・歯周病の検査・またお口の中の写真を撮影し、可能な限り現在の状況をモニターに映し、「可視化」を目指しています。
その診断結果をまずはしっかりと説明し、“なぜそうなったのか”という原因の追究、結果をご説明いたします。もちろん、お口の中の状態を他人に見られたくないというお声も今まで多数お聞きしました。そのご希望に沿うよう、完全個室を完備し、患者様のプライバシーの配慮に努めております。その上で、患者様のご要望に耳を傾け、納得のいく治療計画をご提案いたします。
治療方法に関しても同様です。患者様がどのようなご希望があるのか、そのご希望を叶えるためにはどのような治療が必要なのか、ご説明いたします。その治療法についての利点・欠点もしっかりとご説明いたします。
説明に関しては、画像などを用いて、視覚的に見ていただきます。そのために説明用の個室カウンセリングルームも準備いたしました。
私の経験でも、なかなか口頭だけの説明だけではお伝えできないことが多いと感じているからです。ご希望が多岐にわたる場合は相談時間も多くなりますが、患者様がご納得していただけるまで十分な時間を割くよう努力して参ります。