〒563-0055大阪府池田市菅原町2番6号 エイコービル1階
院長紹介
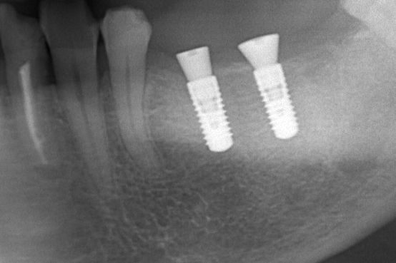
インプラント
2021年10月01日
2021年3月09日
2021年1月26日
2020年11月16日
2020年3月23日
2020年1月29日
人気の記事
重度虫歯からのインプラント・入れ歯治療(*^-^*)
歯茎の下にほぼ全て埋まった親知らずの抜歯
抜歯を行ったインビザライン1年後症例
最近の投稿
矯正治療とセラミックでの全顎治療の1例
前歯1本のセラミック治療
抜歯を伴う矯正治療・インビザライン
カテゴリー