池田市・川西市・北摂の歯医者|アールデンタルクリニック
| 月 | 火 | 水 | 木 | 金 | 土 | 日 | |
| 09:00-13:00 | 〇 | 〇 | / | 〇 | 〇 | ● | / |
| 15:00-19:00 | 〇 | 〇 | / | 〇 | 〇 | ▲ | / |
- 【休診日】水曜・日曜・祝日
- ●…09:00-12:00
- ▲…13:00-16:00
- 池田駅から徒歩3分
当院の強み
インビザライン矯正
見えない矯正装置で理想の歯並びを
「矯正歯科治療」と聞くと思い浮かべるのは、歯の表面に金属の小さな装置を取り付けて、そこにワイヤーを通して歯並びを整える「ワイヤー・ブラケット」ではないでしょうか。「歯並びは整えたいけれど、矯正治療が目立つのはイヤ…」と治療をためらっている方でも、マウスピース型矯正歯科装置「インビザライン」なら安心して治療が始められます。
※マウスピース型矯正歯科装置インビザラインは、透明素材のマウスピースで目立たず、そして取り外しができる矯正治療です。


- 治療名
- 矯正
- 治療内容
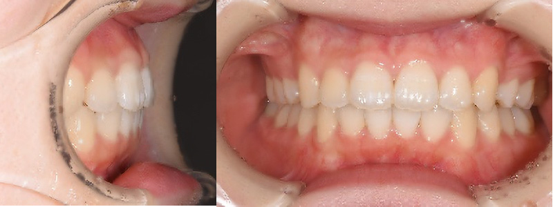
- 前歯前突改善のため上顎左右4本を抜歯し、マウスピースのみで矯正。
- 患者様
- 10代女性
- 治療期間
- 1年6ヶ月
- 費用
- ¥935,000
- 治療に対するリスク
- 後戻り
- 執刀医
- Dr.村尾


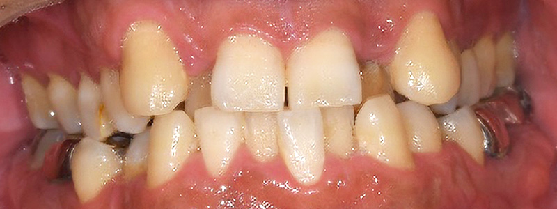
- 治療名
- 矯正・ジルコニアクラウン
- 治療内容
- がたつき改善のためマウスピースのみで矯正。ジルコニアクラウンを製作。
- 患者様
- 40代男性
- 治療期間
- 2年
- 費用
- ¥1,738,000
- 治療に対するリスク
- 後戻り
- 執刀医
- Dr.村尾
セラミック治療
自然な美しさと快適さを両立したセラミック治療
口元や歯にコンプレックスがあり、気になっている、また自信を持って笑えない…なんてことはないですか?
当院では、美しさだけでなく機能性も追求した審美歯科治療も行っています。噛み合わせやアレルギー症状などでお困りの方は、歯のかたちや素材を見直しても良いでしょう。しっかり噛めて、管理・ケアがしやすいお口づくりは、必然的に見た目の改善にもつながります。
このような方はご相談ください!!
- 歯を白くしたい。
- 被せ物・詰め物の変色に悩んでいる。
- 笑ったり、口を大きく開けると銀歯が見えてイヤ。
- 歯茎の黒ずみ・くすみをどうにかしたい。
- 笑った時に歯茎が見えすぎて気になっている。


- 治療名
- インプラント治療ジルコニアクラウン
- 治療内容
- 左右臼歯にインプラント治療を行い、残存歯にジルコニアクラウンを製作。
- 患者様
- 40代男性
- 治療期間
- 約9ヶ月
- 費用
- ¥3,146,000
- 治療に対するリスク
- 外科治療に伴う術後疼痛合併症のリスク
- 執刀医
- Dr.村尾


- 治療名
- セラミックインレー
- 治療内容
- 銀歯と隣の歯のむし歯治療を行い、共にセラミックインレーを装着。
- 患者様
- 50代女性
- 治療期間
- 2回
- 費用
- ¥132,000
- 治療に対するリスク
- 術後疼痛、冷水痛
- 執刀医
- Dr.村尾
入れ歯治療
残った歯を利用した入れ歯
- 動かない
入れ歯 - 残った歯、歯の根を支えにするオーバーデンチャーは、数本だけ残った歯や歯の根っこを支えにした入れ歯です。見た目は、総入れ歯にそっくりですが、残った歯を利用する点で、総入れ歯とは異なります。入れ歯の裏側に歯と連結する部分があります。歯による支えがあることで、動かず、外れない入れ歯になります。
- 入れ歯を
思わせない
噛み応え - オーバーデンチャーの特徴は、入れ歯でも良く噛めることです。残った歯と入れ歯を組み合わせることで、顎と一体感のある入れ歯となり、自然に近い噛み応えでお食事いただけます。
- お口の
中は
快適に - 従来の総入れ歯は、顎に吸い付くように作るため、どうしても周りを大きくする必要がありました。歯を支えにするオーバーデンチャーは、入れ歯の大きさを小さく作れるので、違和感も少なく、見た目も良くなります。


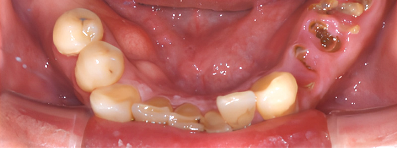
- 治療名
- オーバーデンチャー
- 治療内容
- 残存歯のむし歯治療・入れ歯治療
- 患者様
- 50代男性
- 治療期間
- 4ヶ月
- 費用
- ¥1,067,000
- 治療に対するリスク
- 疼痛
- 執刀医
- Dr.村尾


- 治療名
- インプラントオーバーデンチャー
- 治療内容
- 下顎にインプラント・入れ歯治療
- 患者様
- 70代女性
- 治療期間
- 9ヶ月
- 費用
- ¥2,035,000
- 治療に対するリスク
- 外科処置に対する疼痛合併症のリスク
- 執刀医
- Dr.村尾
ごあいさつ
初めまして。アールデンタルクリニックの院長 村尾直文(むらお なおふみ)です。
この度、阪急池田駅前で開院いたします。
歯医者は苦手・怖い・何をされているのかよくわからない、というイメージが強い患者様は多いのではないでしょうか。
当院では歯医者のそのようなマイナスなイメージを変えていきたいと思っています。
一生涯に渡って健康なお口の状態を継続するためにお一人おひとりに適した治療計画の立案・丁寧、親切な説明・治療終了後の予防、メインテナンスを継続することで、皆様にお口の健康と幸せな毎日を過ごしていただきたい、その延長線として、あの先生・衛生士・スタッフがいるから安心できる、あの歯科医院に行こうと思っていただけるよう「人と人とのつながり」を大切に考えて日々の診療にスタッフ共々、従事していきたいと考えています。
「アール」とは、以前勤務しておりました神戸市内のクリニックでの私の略称です。未熟な私がスタッフ・患者様に支えられ、今の自分があります。そこでの「つながり」があったことで歯科医師として成長できたことをいつまでも忘れずに日々過ごせるよう、このような歯科医院の名称にいたしました。
その感謝の気持ちをいつまでも忘れずに地域医療の貢献に努めていきたいと思っております。


当院の特徴

保険・自費問わず質の高い
診療を目指します
当院では治療内容に対し、自費・保険それぞれのご説明し、最終的に患者様の選択を尊重し治療をさせていただきます。
自由診療だからしっかり行い、保険診療だから手を抜くということは一切ございません。




治療の前に丁寧な
事前説明
治療は「できるだけ痛くない・怖くない」を心がけ、患者様の心身の負担を軽減。毎回、治療前にその日の治療内容を患者様と確認し、終了後は次回の治療内容や大まかな治療時間をお知らせします。

患者様一人ひとりに合った
「オーダーメイド」の治療を
患者様のお悩みは多種多様です。当院は、患者様がご要望とされ、お悩みになっていることを一点一点伺いながら真摯に向き合い、丁寧に診療を行っております。
お気軽にご相談ください。
診療案内
予防歯科・歯周病治療
Preventive Dentistry & Gum Disease
- 健口な歯を維持したい
- 歯のクリーニングをしたい
- 歯ぐきから出血する
矯正歯科
Orthodontics
- 綺麗な歯並びにしたい
- どんな治療か知りたい
- 目立ちにくい矯正をしたい
インプラント
Implant
- 抜けた歯を治したい
- しっかり噛めるようにしたい
- 噛み合わせが気になる
審美歯科・セラミック治療
Cosmetic Dentistry & Ceramic
- 自然で綺麗な歯にしたい
- 人前で思い切り笑いたい
- 詰め物の見た目をよくしたい
義歯・入れ歯
Dentures
- 抜けた歯を補いたい
- 噛めるものを増やしたい
- 話しにくい、食べにくい
歯科一般
General Dentistry
- 歯が痛い
- 歯がしみる
- 歯が黒ずんできた
親知らず外来
Wisdom teeth
- 親知らずが痛い、気になる
- 顎が痛い
- 口が開けにくい










