2021年8月31日

こんにちは!
池田市阪急池田駅前 歯医者 アールデンタルクリニックです。
今回は抜歯を行い上顎前突(出っ歯)を改善した1例です。
インビザラインのみで治療しています。
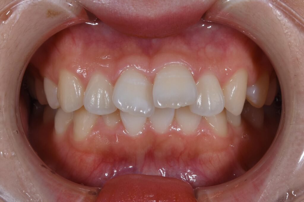
まずは初診時の状態です。
【初診時】



全体的に上の前歯が突出しています。
治療計画として上顎の左右4番目の歯を抜歯し、インビザライン(マウスピース)のみで配列を行いました。
矯正開始1年6カ月後です。(治療終了時)
【治療終了時】



しっかり装着時間を厳守してもらえたおかげで、理想的な歯並びになりました(^^♪
患者様にもご満足して頂けました!
今回、治療を行うにあたって、抜歯2本を行いました。インビザラインでは、従来の針金矯正よりも抜歯を回避し治療を行えることがあります。ただ、今回の患者様はどうしても上の前歯を下げることが必要で、移動量も多かったため、患者様に説明の上、このような治療計画となりました。
よく、インビザラインでは抜歯矯正は無理だ、とのお話もちらほら耳にしますが、このように抜歯を行っても理想的な歯並びとすることができます(*^-^*)
当院では、矯正治療をお考えの患者様には無料相談を行っております。そこで、類似の歯並びの方の術前・術後のお写真を見て頂いたり、どのようにインビザライン矯正を行っていくのか、また、患者様によって治療計画は異なるため、お口のお写真を撮影し、それを元に具体的な治療法をお話するようにしています。
歯並びでお悩みの患者様、ぜひ一度、ご相談下さい(^^)/

