2021年6月03日

こんにちは!
池田市阪急池田駅前 歯科 アールデンタルクリニックです。
今回は矯正治療のため小臼歯2本を抜歯した患者様の1年後の状態のご報告です。
インビザライン(マウスピース矯正)のみで行った症例です。
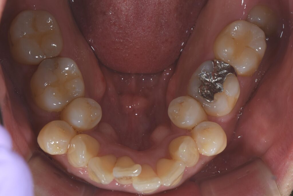
【初診時の状態】

歯のがたつきを認め、スペースの獲得のため左右の小臼歯(前から数えて4番目の歯)を抜歯しました。
その後、インビザライン(マウスピース矯正)で矯正治療をスタートしました。
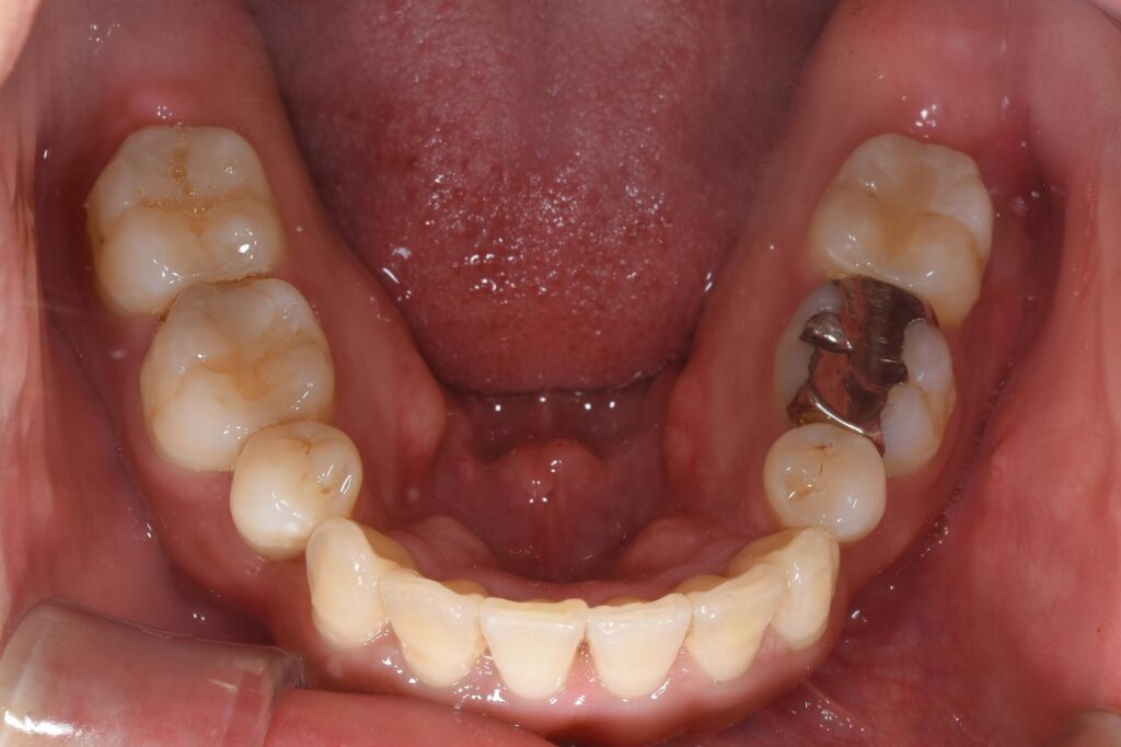
以下に1年後の状態です。
【矯正開始1年後】

いかがでしょうか。
患者様の歯並びがきれいになったと喜んで頂けました(^^♪
前回のブログにも記載しましたが、スペースの獲得ににはいくつか方法があります。ただ、どうしても歯の移動を行うにあたり大きなスペースが必要な場合は今回のように抜歯処置が必要となります。
無理に抜歯を行わず処置をすると、歯が出っ歯になったり歯茎から顕著に歯の根っこが露出する事態となり、予後に影響することがあるため、私は矯正治療を行うにあたり、もちろん最初は抜歯を伴わない治療計画を考えますが、無理な場合はカウンセリングにてなぜ抜歯を行わないと理想的な矯正ができないかを説明するようにしております。
また、よくこんなお話を耳にします。
「インビザラインでは抜歯を伴う矯正治療はできないと他院で言われました・・・」
その時は当院で行っている抜歯を伴った矯正治療の術前・術後の症例をお見せしており、上記の患者様のその1例です(^^♪
インビザライン矯正での適応かどうかは、初診時のカウンセリングでお話させて頂きます!
矯正をお考えの患者様、ぜひ一度ご相談下さい。
また、最近矯正治療を開始される患者様が増えており、矯正相談の初診予約が取りずらい状況です。
ご予約の際は、当院WEB予約・もしくは直接お電話頂ければ対応可能な時間をご案内致しますので宜しくお願い致します。

