2023年12月26日

こんにちは。
池田市 歯医者 アールデンタルクリニックです。
今回は矯正終了後にセラミック治療を行った患者様です。
【患者様のお悩み】
前歯が外れそう、なんとかしてほしい。
【初診時の状態】


上前歯2本が他院で仮歯を装着して頂いていたが、外れそうとのことで受診されました。検査の結果、虫歯でどうしても残すことが困難な状態でした。相談の上、治療終了時に長持ちする治療を希望され、矯正治療行い、その後前歯にセラミック治療を行うことになりました。以下に治療終了時の状態です。
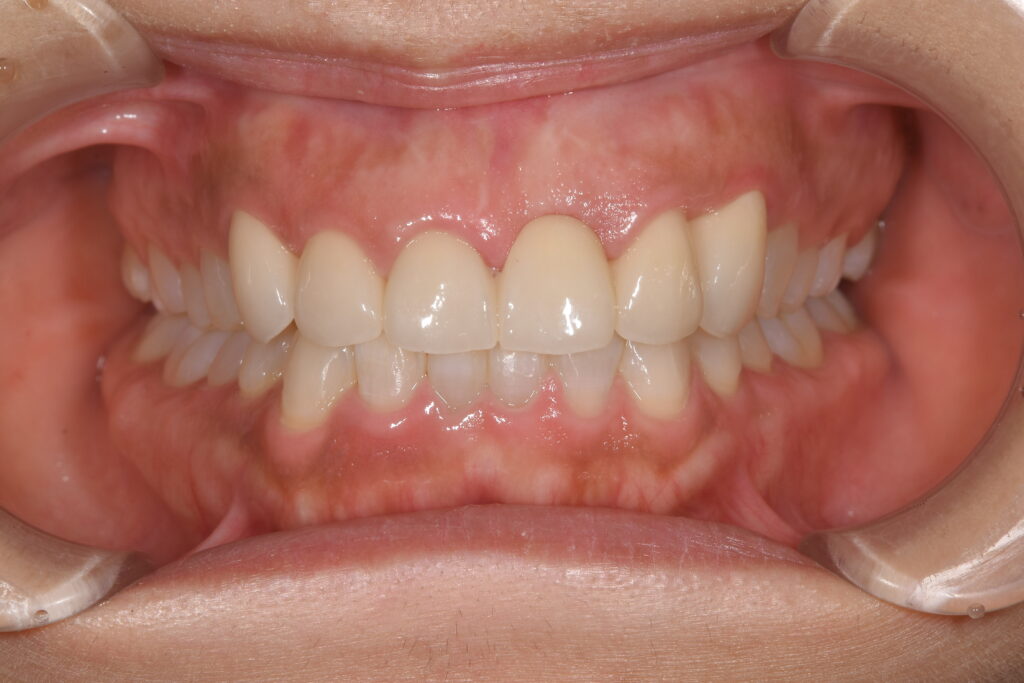
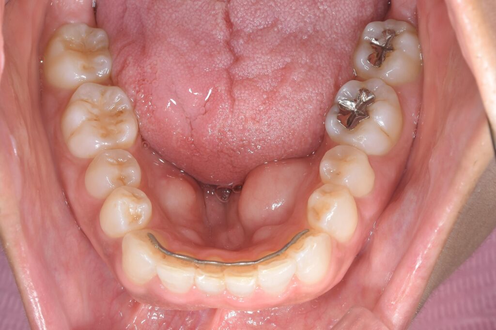
【治療終了時】


【治療内容】
①左上前歯の抜歯
②抜歯当日、仮歯を装着し前歯がない状態は1日もないように留意。
③矯正治療開始。(マウスピース矯正のインビザラインのみで施術)
④矯正終了後、上顎前歯は歯茎を整える手術施行。仮歯調整。
⑤上顎左3番目から右側3番目の歯(計6本)をセラミック(ジルコニア)を装着。
大まかにはこのような治療の流れとなります。
なぜお悩みの前歯だけの治療ではなく、矯正治療を行うことが理想的であるのか。それは噛み合わせの重要性にあります。
上顎のお悩みの歯だけを施術する場合、下顎の歯にがたつきが存在すれば、上の歯もがたつきが出てしまいます。理想的な美しい状態にするのは困難を極めます。矯正治療が可能であれば、問題は解決できます。
また、治療内容④で記載した、歯茎を整える手術。これは初診時と治療終了後の上顎の歯茎のラインを注視して下さい。差は歴然ではないでしょうか。今回の患者様は、笑った際に歯茎が少し見える方でした。ですので、歯茎の見え方にも細心の注意を行い、このような処置を行った次第です。
当院ではこのように、お口全体のお悩みを解決するために虫歯治療、インプラントや矯正治療など院長が責任をもって処置を施術させて頂きます。お悩みの患者様へ参考になれば幸いです。
TEL:072-736-9324

