2021年10月04日

こんにちは!
池田市阪急池田駅前 歯医者 アールデンタルクリニックです。
今回は上下左右4番目の歯を抜歯し、矯正治療(インビザラインのみ使用)を行った1例です。
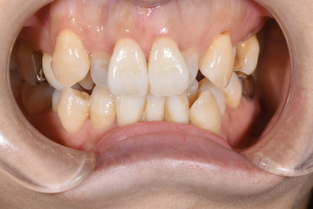
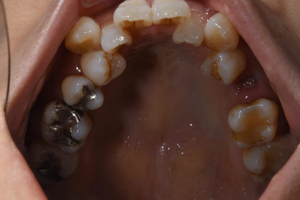
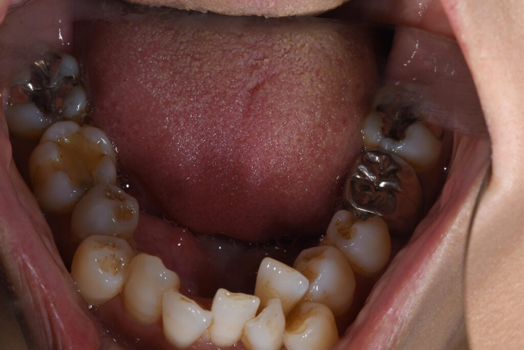
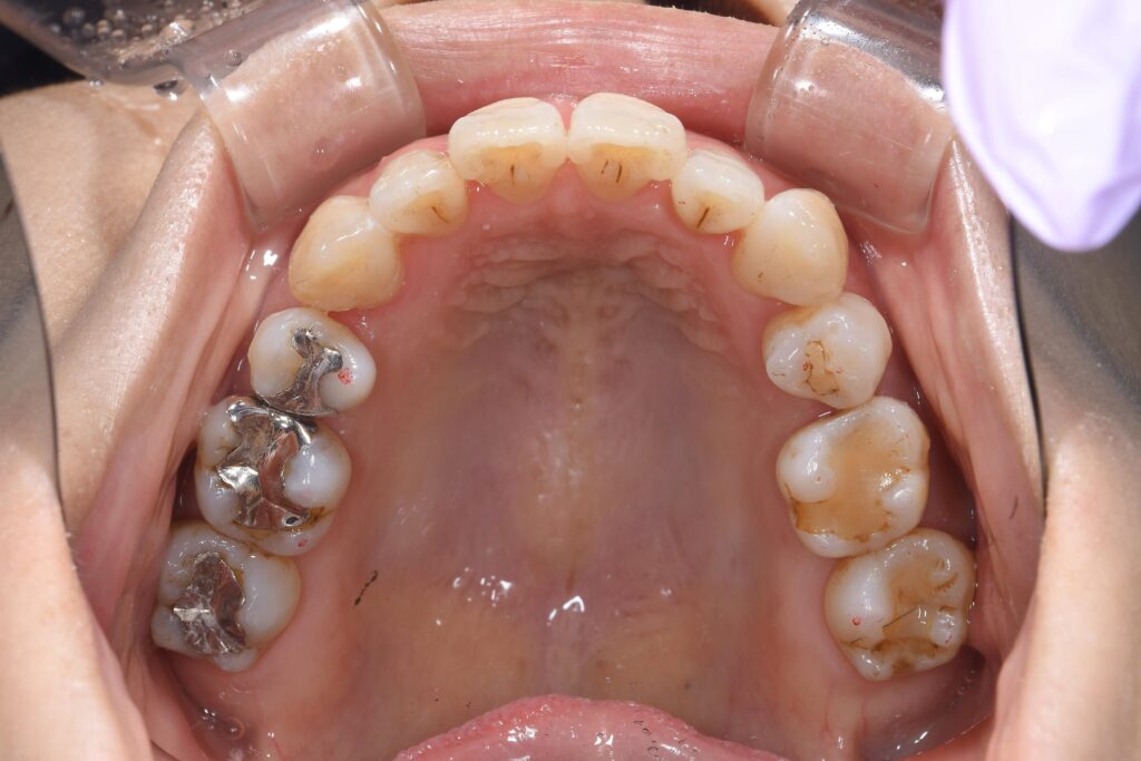
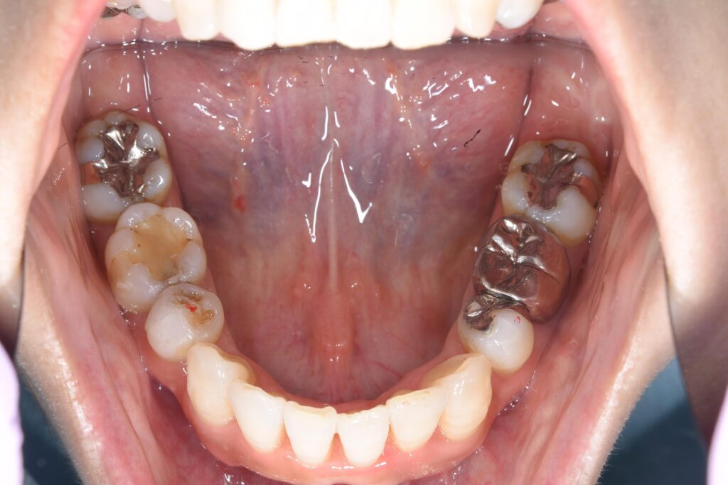
まずは矯正開始前の状態です。
写真が暗くて申し訳ございません。
【矯正開始前】



この患者様の問題点を以下に列挙します。
【問題点】
①歯のががたつきが強く、清掃困難な状態である。
②かみ合わせに問題があり、左上5番目の歯が歯周病で保存困難となったため、抜歯が必要となった。
③歯を並べるスペースが窮屈であり、スペース獲得のため便宜的な抜歯治療が必要である。
大まかに上記3点となります。
今回のように、下の歯のがたつきが顕著な場合、インビザライン(マウスピース)のみで歯並びを改善するよりも、針金を併用する治療も治療計画として考えましたが、患者様ご希望にて、針金は一切使用せず、インビザラインのみで矯正治療を行うこことなりました。
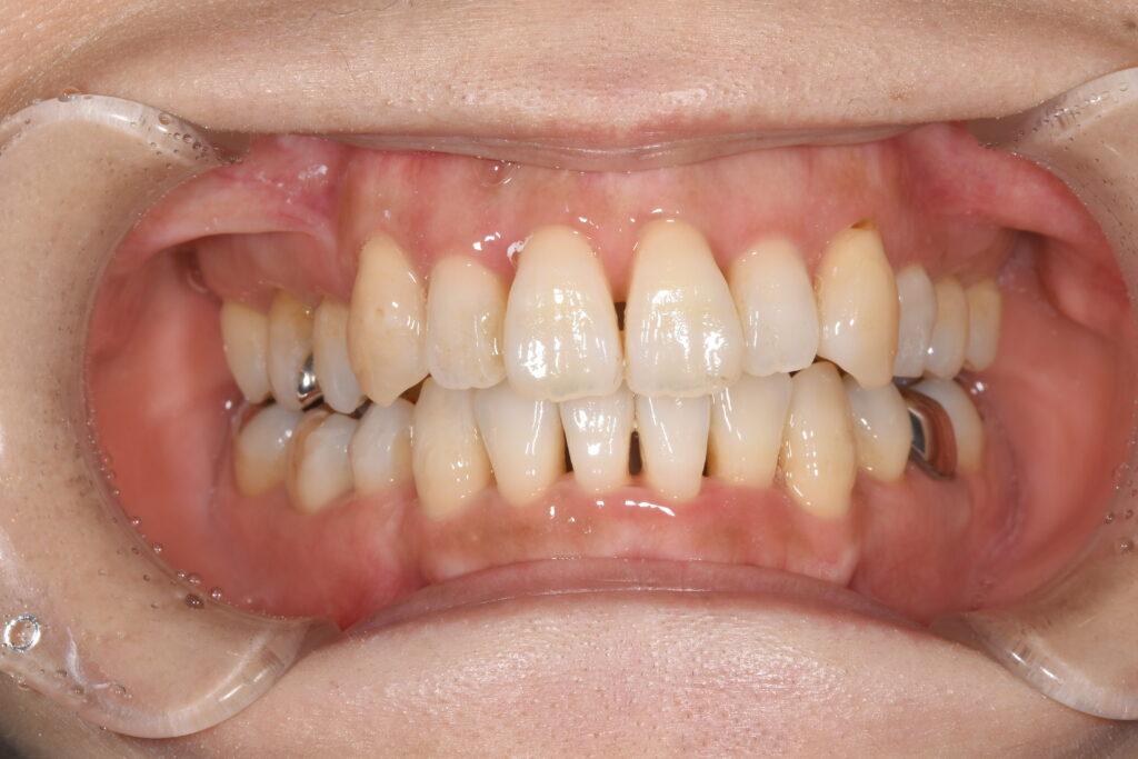
以下に術後8カ月の状態です。(まだ、微調整が必要なため終了ではありません)
【矯正開始8カ月後】



いかがでしょうか。
マウスピースを適切に使用して頂けたおかげで、ここまで改善することができました(^^♪
患者様にも大変喜んで頂き、うれしい次第です(^^)/
この患者様は合計4本の抜歯を行いこの状態になりました。
インビザラインでの治療を行う際は、歯型を取り、コンピューターでどのように歯を動かすかシュミレーションを行います。その際、歯を抜歯しなくても済む計画を立案できることもありますが、今回は抜歯を避けることができませんでした。
ただ、抜歯をしても、針金を使用せずここまでの状態に歯並びを改善することができるのです!
インビザラインでは、このコンピューターシュミレーションがかなり重要となります。どのように歯を動かすのかを決定するのは歯科医師です。ですので、他院で同じようにインビザラインで治療を行っても、終了時の状態には差が出ますし、抜歯を行った場合は、インビザラインではできないとお話されるのは、その先生のお考えによるところが大きいのです。
しかしながら、確かに全ての歯並びをインビザラインだけで改善できるとは私は思っていません。実際に、お断りした患者様のいらっしゃるのは事実です。ですが、現在ではほとんどの歯並びに対応できるようになっております!
今回の患者様は、1年間、矯正治療するかどうか悩んでいらっしゃいました。
この状態になってからは
「こんなことならもっと早く決心して治療すればよかった!」
と、仰っていらっしゃいました。
矯正治療は治療期間も金額もかかります。
ですので、よく検討し、矯正治療を行う大変さもしっかり理解して頂けるよう、当院ではカウンセリングを重視しています。カウンセリングを受けたからと言って、絶対治療をしなければいけないわけではございません。
歯並びでお悩みの患者様、ぜひ一度ご相談下さい!

