2020年8月26日

こんにちは!
池田市阪急池田駅前 歯医者 アールデンタルクリニックです。
本日はインビザライン(マウスピース矯正)での治療報告です。
今回の患者様のお悩みは、
①痛みを少なく
②ガタガタを治したい
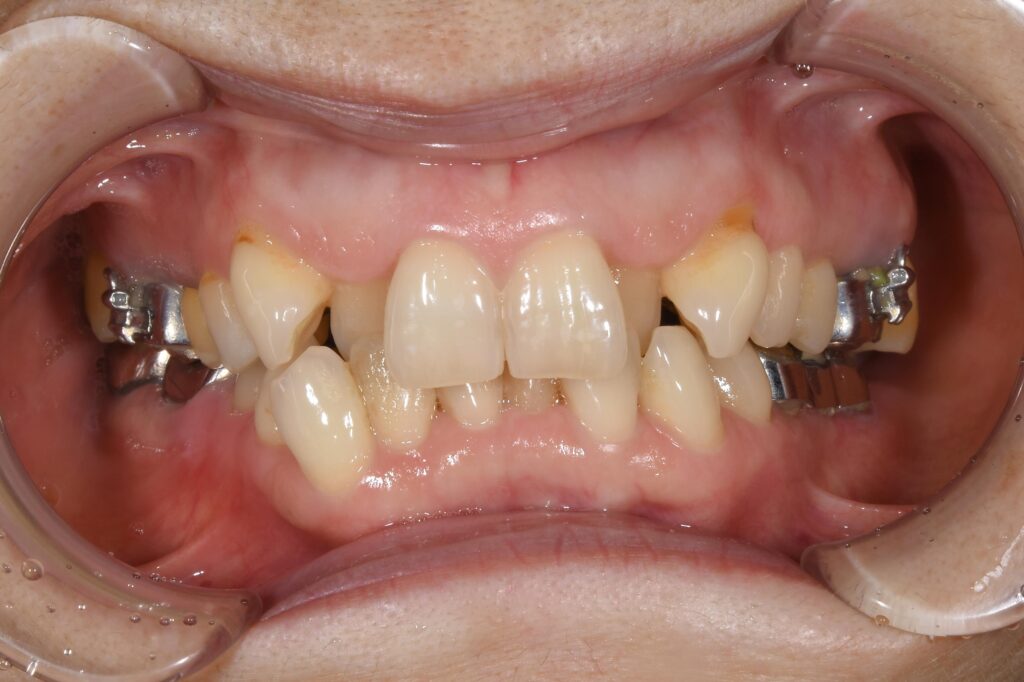
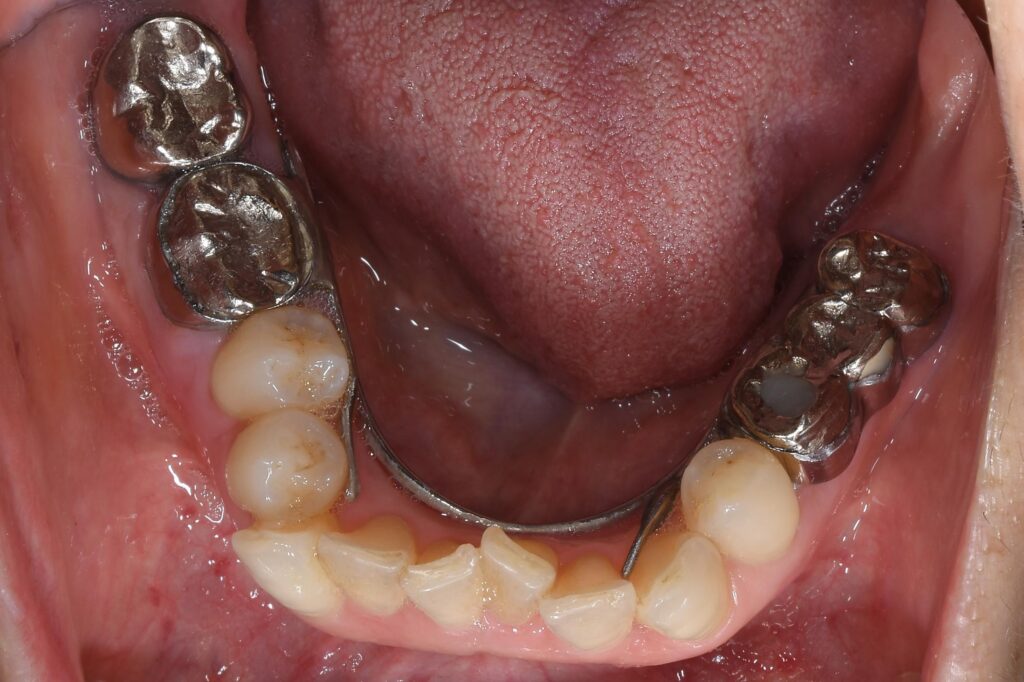
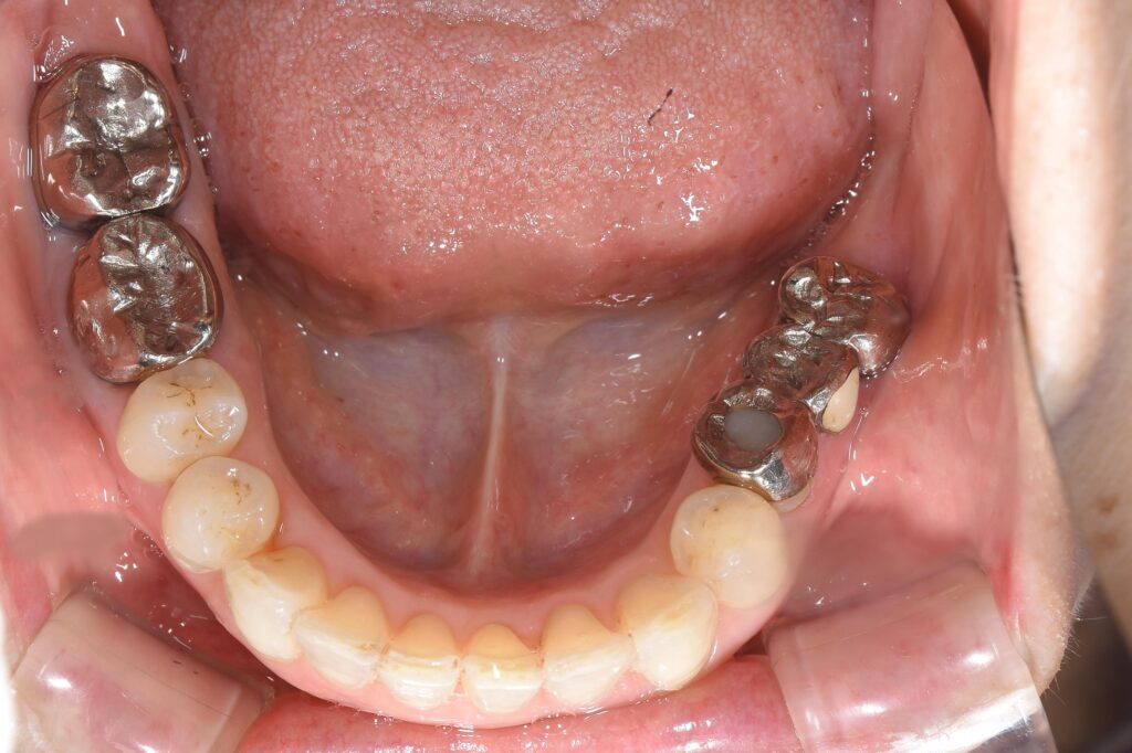
まずは初診時の状態です。
【初診時】



この患者様は、他院で矯正治療を開始されましたが、痛みが強すぎて他の方法がないかということで当院を受診されました。
当院では、マウスピース型矯正装置(インビザライン)での治療をご提案し、開始となりました。
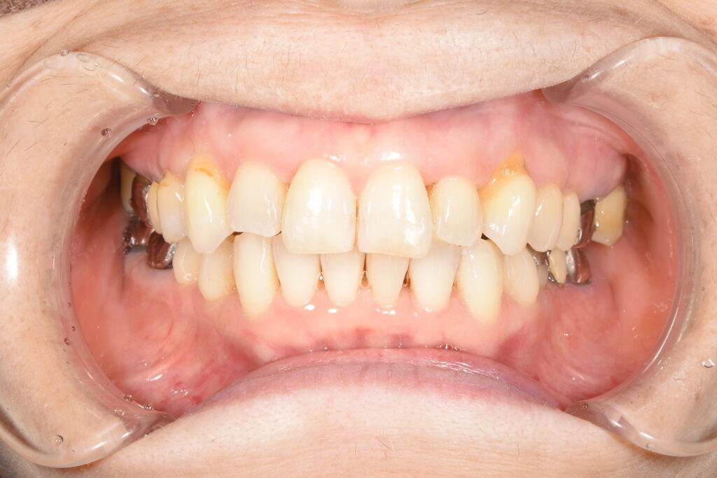
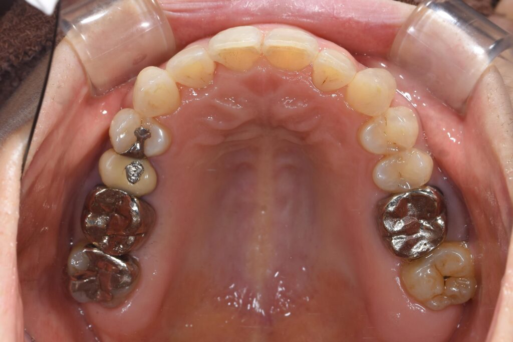
治療期間1年で治療終了。
以下に終了時の写真を掲載します。
【治療終了時】



いかがでしょうか。
このように、インビザラインでの治療で、痛みなどもほぼない状態で治療終了となりました(^^)/
もっと治療期間が長いと予想されていたようで、本当に喜んでいただけました(^^)/
インビザラインでの治療はもちろんいいことばかりではないですが、やはり以下のメリットがあると思います。
①見た目が良い
②痛みが少ない
③着脱可能なので、清掃性が良い
ちなみに私自身もこの装置で矯正をした経験があります(*^-^*)
歯並びでお悩みの患者様、ぜひ一度当院でご相談してみてはいかがですか。
ご連絡、お待ちしております。

