2021年7月16日

こんにちは!
池田市阪急池田駅前 歯医者 アールデンタルクリニックです。
今回は、矯正治療でインビザライン(マウスピース)にて治療中の患者様のご報告です。
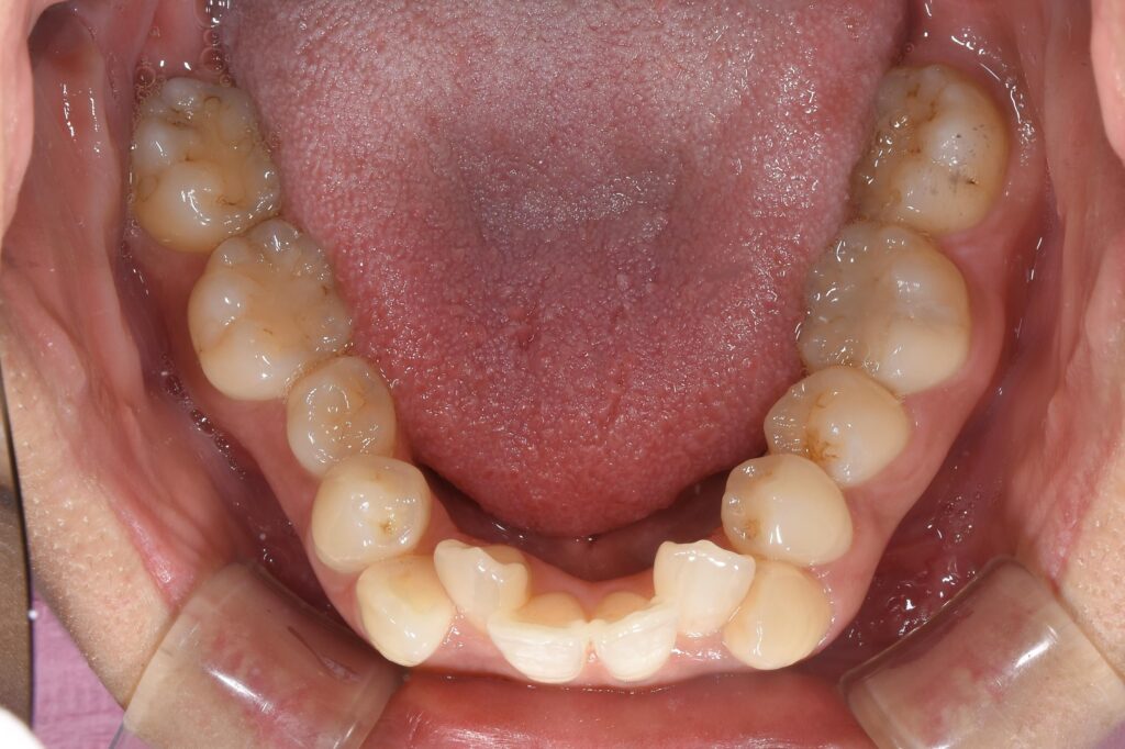
まずは術前の状態です。
【矯正開始前】

下顎の写真です。
以前の投稿でも記載しましたが、歯を並べるためには歯が並ぶスペースが必要です。初診時のこの状態を診察した時は、このように考えていました。
歯を並べるスペースが足りない、抜歯が必要だろう・・・
このように患者様にもお話し、ただ、インビザラインはコンピューターシュミレーションを行うことができるので、そこで最終判断させてほしいとお願いし、了承を得ました。
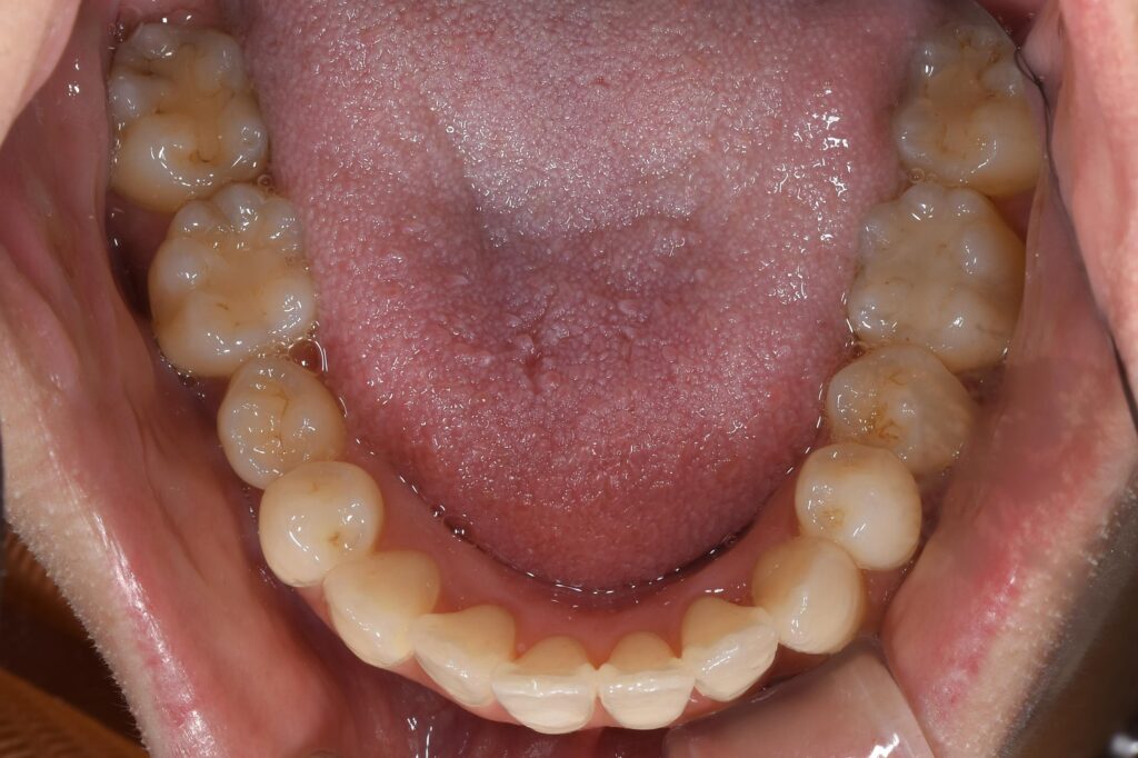
その上で矯正開始1年後の状態です。
【矯正開始1年後】

いかがでしょうか。
結論として、非抜歯(抜歯は行っていません)でここまで歯並びを改善することができました(^^)/
患者様にもとても喜んで頂けました!
今回このように抜歯を行わず改善できたのも、インビザラインのコンピューターシュミレーションがあってこそでした。このように、抜歯が必要か抜歯を回避して配列が可能かを事前にシュミレーションできることは、本当に治療の幅を広げてくれています。
どのような状態でも、抜歯を回避できるわけではありません。歯の移動量が多すぎたり、正常な歯列拡大の幅を超えると、それ相応のデメリットも起こってしまいます。ですので、その際は私は抜歯での治療を選択します。(もちろん、患者様の了解があってのことです。)
インビザラインでの矯正治療はどこでやっても同じではありません。治療を担当する先生によって大きく治療方針が異なることがあるのです。ですので当院では、可能な限り似たような状態の資料を提示し、術後の状態予測を患者様に提示しています。
【インビザラインとは】

インビザラインとは上記のような透明なマウスピースを装着し、歯を移動させていきます。
【装着時】

上記の写真はインビザラインを上下に装着した状態です。
【治療中の注意事項】
①マウスピースを20-22時間装着する必要がある。食事の時は外す。
②必要に応じてゴムを併用する。
③来院は2-3か月に一度。
上記を遵守できれば、かなりの歯並びに対応可能です(^^♪
最近はマスクをしている間に矯正をしたくてと、相談・治療開始される患者様が多数来院されております。
この機会に、ぜひ一度、ご相談下さい(^^)/

