2021年6月25日

こんにちは!
池田市 阪急池田駅前 歯医者 アールデンタルクリニックです。
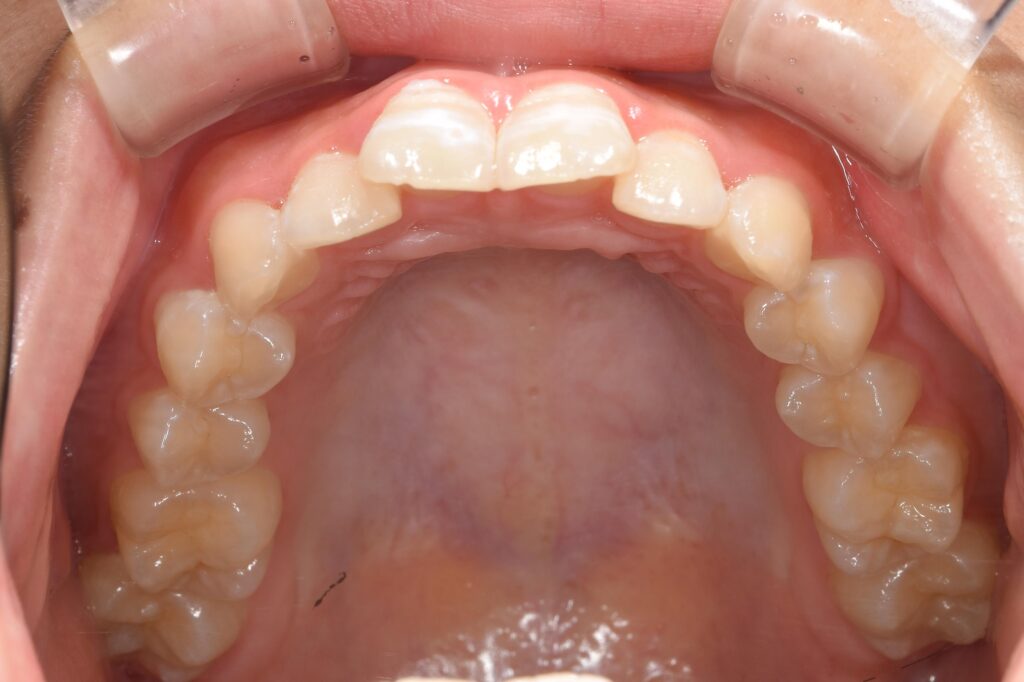
今回はインビザラインで矯正治療を行った方のご報告です。
お悩みは、歯のがたつきです。
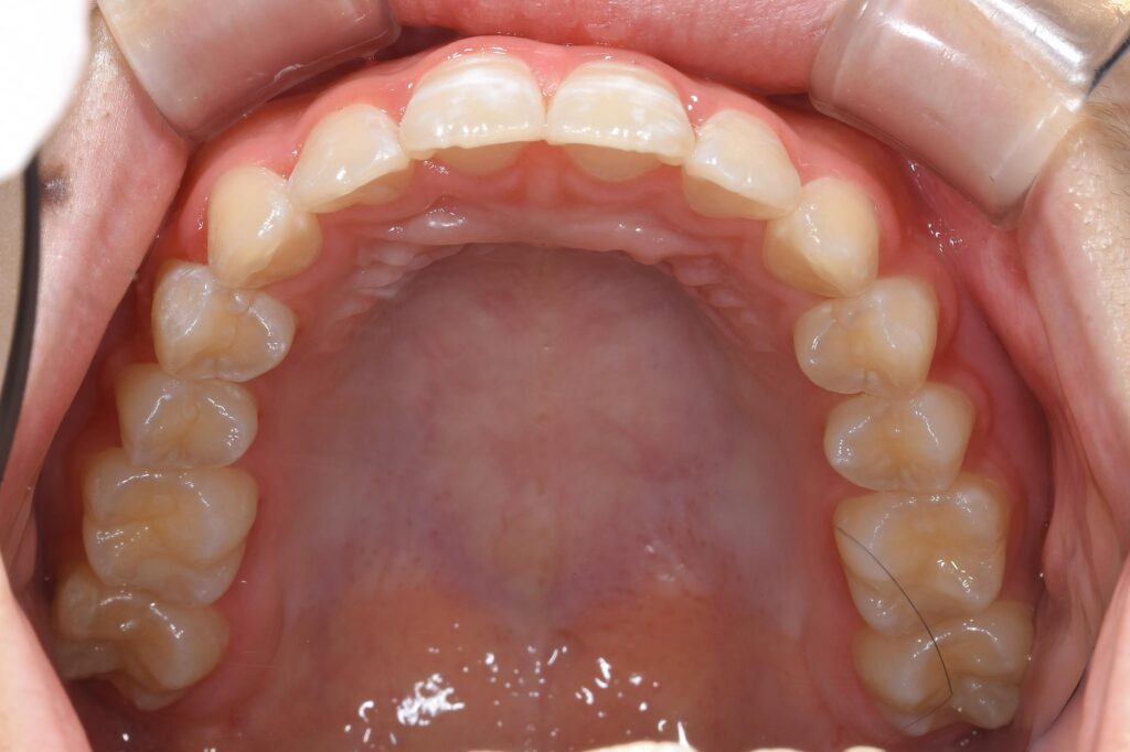
治療6カ月で終了です(^^♪
【初診時】

【治療終了時】

とてもきれいな歯並びになりました(^^♪
抜歯が必要な場合や、がたつきが重度の場合はどうしても治療期間が長くなりますが、今回と同程度であれば数か月で終了することも多くあります。インビザライン(マウスピース矯正)は、全ての歯並びを改善することは、現時点では無理だと判断する場合もありますが、ほとんどの歯並びに対応が可能です。抜歯が必要な歯並びでも対応可能です(^^♪
矯正治療をご検討の方は、ぜひ一度、ご相談下さい(^^)/

