インプラント・セラミックを使用した全顎治療の1例|池田市・川西市・北摂の歯医者|アールデンタルクリニック

〒563-0055大阪府池田市菅原町2番6号 エイコービル1階

072-736-9324

WEB予約
下層MV(PC)

インプラント・セラミックを使用した全顎治療の1例

インプラント・セラミックを使用した全顎治療の1例|池田市・川西市・北摂の歯医者|アールデンタルクリニック

2021年10月01日

インプラント・セラミックを使用した全顎治療の1例

こんにちは!

池田市阪急池田駅前 歯医者 アールデンタルクリニックです。

 

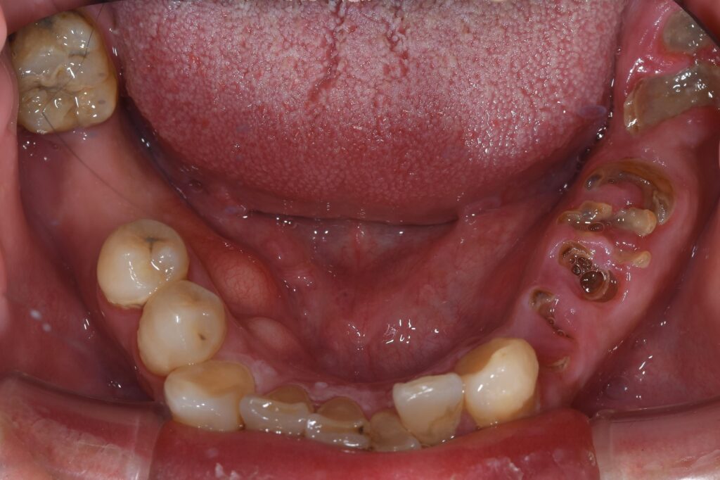
今回はセラミック(ジルコニア)・インプラントを行った全顎治療の患者様の1例です。まずは初診時の状態です。

 

【初診時】

問題点を列挙していきます。

【問題点】

①長期間歯科医院の来院がなく、歯周病・虫歯が重度に進行した。

②下顎前歯に位置が逸脱した歯牙が存在する。

③奥歯を喪失すると歯全体の支え(大黒柱)がなくなり、前歯がどんどん崩壊する。

 

簡略的には上記が問題点となります。

ここから患者様とのカウンセリングが始まります。

当院では、治療の選択肢が多い場合、必ず時間をかけて患者様のご要望をカウンセリング時にお伺いし、綿密な治療計画を立案します。

 

今回は、最善の治療をしてほしいと患者様よりご要望を頂きました。その結果、以下のような治療を行っていくことになりました。

 

【治療計画】

①まずは全体的に歯茎の腫れが顕著なため、全顎的に歯周病治療・ブラッシングの方法の改善を行っていく。

②並行して、虫歯治療・保存困難な歯牙の抜歯を行う。その際、親知らずの抜歯も行うこことした。

③奥歯の回復について、よく噛めるものをご希望のため、左右共にインプラント治療を行う。

④残った歯牙をセラミック(ジルコニア)で清掃性がよく、配列の良い状態に改善していく。

 

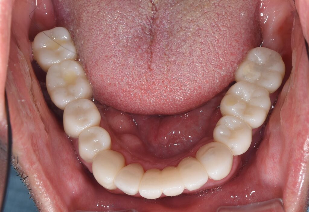
そして、治療を終了した状態が以下のようになります。

 

【治療終了時】

いかがでしょうか。

患者様には大変満足いただけました(^^♪

喜びのお声を頂き、私としてもうれしく思っております!

 

このように、お口全体を十分に診査・診断し、治療計画を立案することで、長期的に安定した状態で治療を行うことができます。もちろん、インプラントが絶対ではありませんんが、もし、今回奥歯に入れ歯を選択した場合は、現在よりも硬いものを噛むことが困難であったと予想されます。

 

また、患者様には治療終了時に当院にお越し頂いた初診時の口腔内の写真を見て頂き、現在との変化をさらに理解して頂くようにしております。

その理由は、この状態になったら積極的な治療は終了ですが、ここからは最初の状態に戻らないようにメンテナンス(定期的なお掃除)が必須であることを理解して頂きたいからです。

そうすることで、真の長期的に安定したお口を手に入れられると私は考えています。やはり、歯医者は痛いなど、気になることがあった時に重い腰を上げて来院される患者様が正直多いと思います。そこで、痛みがとれたから・気になることが無くなったから、という理由でメンテナンスから遠ざかってしまうと、次に来院される際はさらに状況が悪化してしまい、最悪抜歯になってしまうからです。

 

このように、当院では治療からメンテナンスまでを重要視しております。

何かお口のお悩みがあれば、是非ご相談下さい(^^)/

PAGETOP