2020年3月23日

こんにちは!
池田市 阪急池田駅前 歯医者 アールデンタルクリニックです。
本日は、インプラント治療を併用した外れない入れ歯治療のご紹介です。
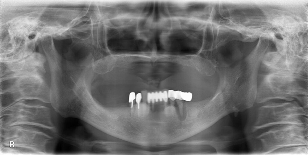
患者様のお悩みは、右下5番目の歯が割れている気がするが、かかりつけ歯科で経過観察行っているのだが改善しないので、見てほしいとのことでした。初診時レントゲン・口腔内の所見です。
【初診時】



右下5番目の歯(画面向かって一番左下の奥歯)は、レントゲン所見より真横に歯が割れているのが確認できます。残念ながら、保存は困難との診断です。
また、全体的にも検査行うと、以下のような診断になりました。
【診断】
①右下5 破折 → 抜歯
②右下2・左下5 重度歯周病 → 抜歯
【治療計画】
上記診断になり、現在のような差し歯では対応困難な状況であることが確認できます。そこで、患者様とご相談の上、最低限のインプラントを用いた 外れない入れ歯 治療 を行っていく運びとなりました。
通常の部分入れ歯や総入れ歯では、硬いものを噛むと痛い・外れやすいなどデメリットが多く、今回ご相談で一番重要視されたのは人前で話すので外れないようにしてほしいとのことでした。
また、この治療法の一番のメリットは、治療終了後、長持ちすること!
どういうことなのか、それは、どんなにインプラントを多用し高額な治療を行ったとしても、治療後にしっかりとメンテナンスできなければ、再度、虫歯・歯周病になりだめになってしまう。では、どうすれば良いのか・・・
それは、歯磨きしやすい環境を整える!
これが一番重要です。
いくら、歯科医師の指示通り歯科医院にメンテナンスに通っても、普段から綺麗に歯磨きができていなければインプラントも脱落してしまいます。数年でインプラントが抜けてしまった経験がある方もいらっしゃるのではないでしょうか。
私は、その可能性をできる限り少なくした治療法を提案致します(^^)/
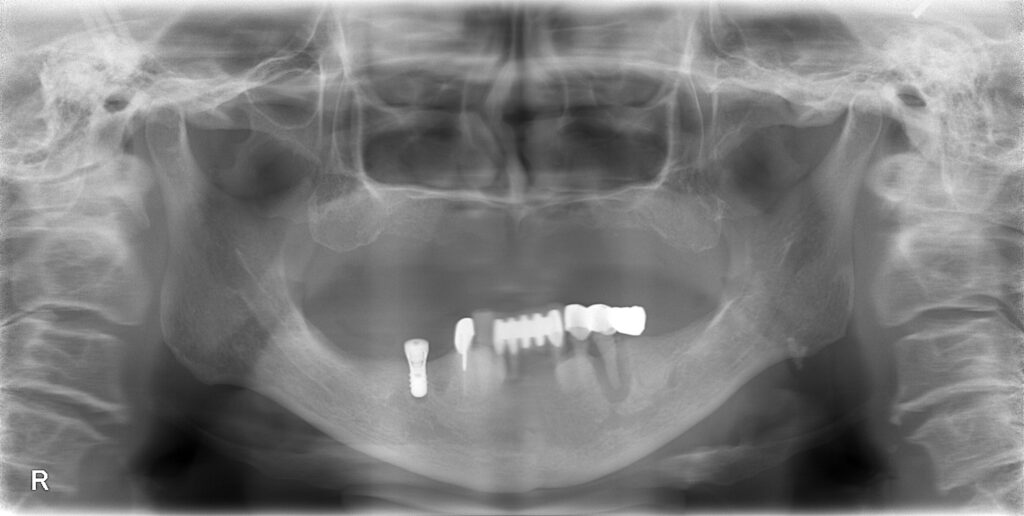
さて、現在はインプラントを埋入し、割れた右下の歯を抜歯しました。
それが以下のレントゲンです。
【インプラント埋入直後のレントゲン写真】

CTを撮影し、安全に処置行っております。
処置時間は30分程度です。
ここからどのような状態に変化していくのか、他の方の治療例で以下に示します。
【治療終了時の類似例】


いかがでしょうか。
この治療法のメリットは・・・
①取り外しの入れ歯なので入れ歯を外せば清潔に歯磨きができる
②多数のインプラントは必要ない。実際、今回治療をされている患者様は1本のインプラントのみ使用。
③硬いものも食べることが可能で、食事や会話の際に外れることはない。
デメリットは・・・
①入れ歯になる。
②入れ歯の使用により、自分の歯よりは違和感がある。
以上です。
私も、多数のインプラントを使用し、入れ歯を使用しない治療法で治療させて頂くことももちろんあります。ただ、患者様の生活をしっかりと考え、その患者様に一番良いと思う方法をご提案しております。個人個人で一番良い治療法は異なっており、そのため必ずしっかりとカウンセリングを行った上で最良の方法をご提案しております。
歯を失い、お悩みの患者様。
ぜひ一度アールデンタルクリニックにご相談下さい(^^♪

