2019年7月03日

こんにちは!
池田市阪急池田駅前アールデンタルクリニックです。
本日はセラミックでの審美矯正治療のご紹介です。

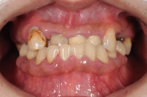
【術前】

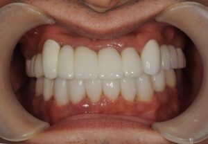
【術後】
美しい歯並びで、患者様も満足して頂けました(^^)/
このように、セラミックの被せ物で対応することで、通常の矯正治療と比較した場合、短期間で治療を終了し、お望みの歯並びを獲得することができます。
今の歯並びをなんとかしたい、短期間で終了したいとご希望の患者様!
ぜひ一度、ご相談にお越しください(^^♪
【注意事項】
・施術名 審美歯科
・術後、一時的に冷水痛、咬合痛が起こることがあります。この施術に関しては、歯を削合します。
・治療は保険外診療となります。

