2019年7月02日

こんにちは!
池田市阪急池田駅前 アールデンタルクリニックです。
梅雨入りして、すっきりしない天気が続きますね((+_+))
私的には早く梅雨が終わって欲しいです。
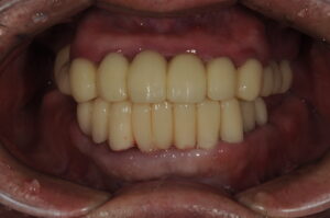
さて、本日は矯正治療の中でもセラミック矯正についてご紹介です。
この治療法は通常の矯正ではなく、差し歯(セラミック)を装着して短期間で美しい歯並びを獲得する審美歯科です。
【術前の写真】
【術後の写真】
この治療法で2か月で美しい歯並びを獲得された写真です。
もちろん、歯を削ることにはなりますが、患者様によっては歯周病などの理由で通常の矯正治療を行うことで術後に歯がぐらぐらになるなど、欠点もあります。また、治療期間も長期に渡ります。その欠点を補うことができるのです!
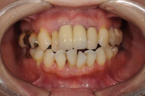
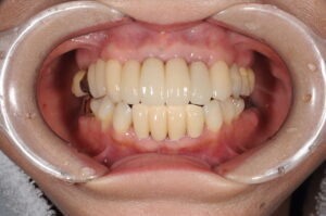
次に虫歯・歯周病が進行していた患者様です。
【術前の写真】
【術後の写真】
この方は1か月ほどでこの状態まで変化することができました(^^)/
もちろん、セラミック矯正は歯を削らなければなりませんが、治療期間などを考慮すると、とても短期間で美しいお口を獲得できることはメリットも多いと考えております。
当院では、このような治療も対応可能ですので、歯並びでお悩みの方は、ぜひ一度ご相談下さい(^^♪
【追記事項】
・治療名 審美歯科
・術後、歯を削合することで一時的に冷水痛や咬合痛など痛みが出ることがあります。
・この治療方法は自由診療となります。保険適応はできません。

