2019年9月24日

こんにちは!
池田市阪急池田駅前 アールデンタルクリニックです。
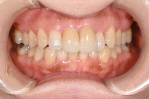
今回はセラミック矯正で美しい歯並びを獲得された写真の紹介です。

正面の真ん中2本の歯並び、重なり具合を気にされており、2本のピンポイントでセラミックでの治療を行いました。以下が術後写真です。

どうでしょうか。
短期間でこの仕上がりです(^^)/
今回は2本でのご希望でしたので、向かって左側の2番目の歯と自然な程度で重なりをつけてfinishすることで、自然な美しさを得ることができました。
このように、当院では短期間で美しい歯並びをご提供することが可能です(^^)/
ご希望の際は、ぜひ一度、ご相談下さい!

