2023年12月26日

こんにちは。
池田市 歯医者 アールデンタルクリニックです。
今回は前歯1本のセラミック治療のご紹介です。
【今回の患者様のお悩み】
左上前歯を幼少期にぶつけて、治療してもらったが変色が気になるので綺麗にしたい。
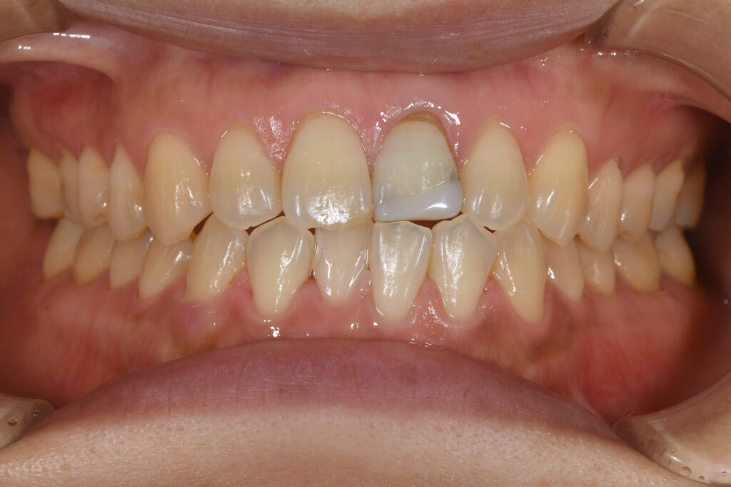
【処置前(画面向かって右上の歯)】

明らかな変色を認めます。
患者様と相談の上、お悩みの1本の歯に被せ物を行うことになりました。
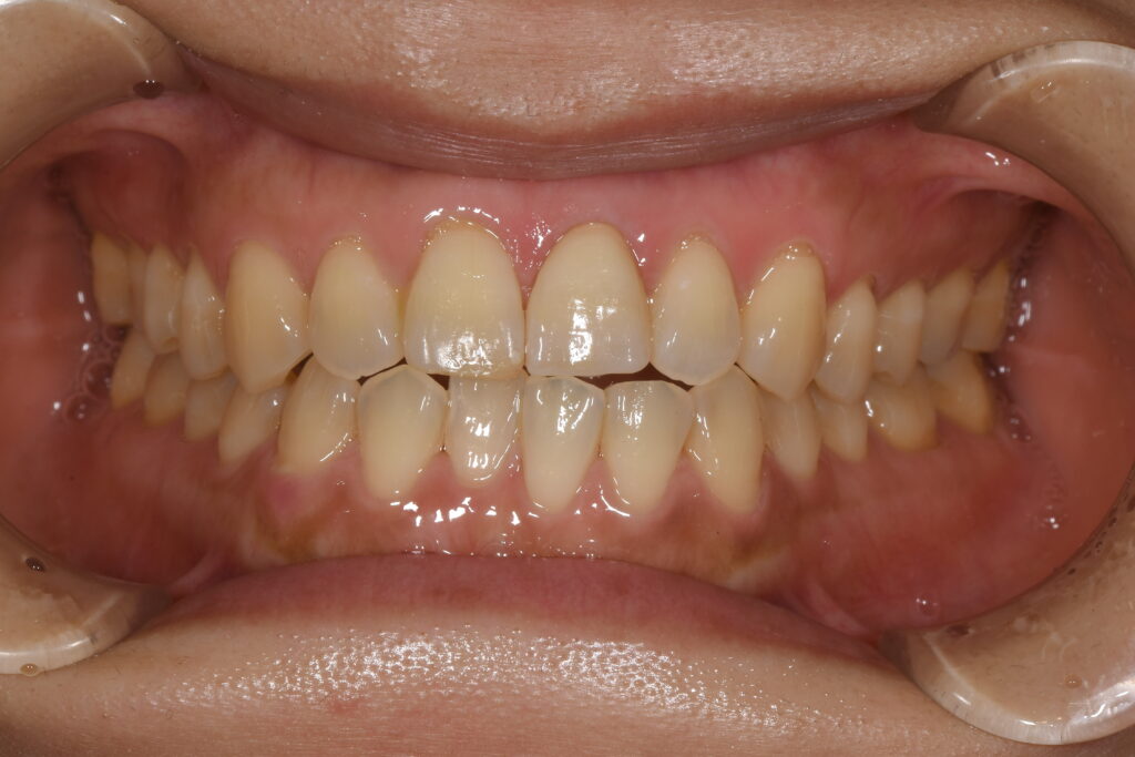
以下、術後の状態です。
【術後の状態(画面向かって右上の歯)】

【処置するにあたり注意した点】
①前歯なので左右対称性に留意。
②下の歯にがたつきがあるため、うまく調和させるため、事前に仮歯を使用し患者様と歯の形を相談しながら、ご納得頂けるまで調整を行った。
③素材はジルコニア。技工士との密な連携を行い、ここまで調和した歯を作製。
このように、1本のみの治療は、形・大きさ・色の調和などかなり困難な治療内容となりますが、ここまでの美しさを追求しています。
差し歯・被せ物など、美と機能に関してお悩みの患者様、是非ご相談下さい。ご予約の際は、ホームページからWEB予約・もしくはお電話にて受け付けております。
TEL:072-736-9324
アールデンタルクリニック
【治療期間・費用】
・治療回数 4回
・治療期間 1か月
・費用 13万2千円(税込み)

