噛めない入れ歯からの脱却(*^-^*)|池田市・川西市・北摂の歯医者|アールデンタルクリニック

〒563-0055大阪府池田市菅原町2番6号 エイコービル1階

072-736-9324

WEB予約
下層MV(PC)

噛めない入れ歯からの脱却(*^-^*)

噛めない入れ歯からの脱却(*^-^*)|池田市・川西市・北摂の歯医者|アールデンタルクリニック

2020年1月29日

噛めない入れ歯からの脱却(*^-^*)

こんにちは!

池田市阪急池田駅前 歯医者 アールデンタルクリニックです。

 

今回は、入れ歯を使用されていた患者様で、噛むと痛いのでなんとかしたいと当院へ受診されました。

治療内容は、インプラントとブリッジです。

 

まずは初診時の写真、レントゲンです。

【初診時】

上記のように、入れ歯を長年使用されておりましたが、右下の歯が痛くて噛めないとのお悩みを抱えていらっしゃいました。

この患者様は、かかりつけ歯科があったそうなのですが、そこでの診断は

”気のせい。大丈夫。問題ない。”

とのことでした。ですが、実際痛いので当院へsecond opinionとして来院されたとのことです。

 

そこで全体的に検査を行い、以下に当院での診断結果です。

 

【診断結果・治療方針】

①右下の歯が動揺しており、長年の入れ歯の使用・かみ合わせのせいで負担がかかり、破折している。

→実際に被せをとって確認し、患者様にも写真で確認して頂いました。

②まずは入れ歯の使用をしないように指示。

→直後から痛みが消失しました。

③右下の歯は抜歯が必要。ただ、奥歯にしっかりとかめるものをいれる必要があるので、インプラント治療を行う。また、左下奥歯は、保険でブリッジの治療を行う。それによって、入れ歯を使用することなく、今までより痛みなく、食事が可能である。

→先に右下インプラント埋入。その後、左下処置行った。

 

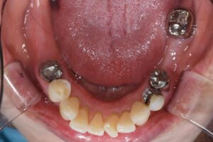
【インプラント埋入後】

画面向かって左下に2本のインプラントを埋入しました。処置時間は30分程度です。この患者様は術後、痛みやトラブルもなく、現在は治療終了しており、満足に食事ができるようになった、有難うございましたとのお言葉をかけて下さいました(*^-^*)

繰り返しになりますが、患者様は、現在入れ歯を使用しておりません。

 

今回、私がお伝えしたいことは2つ。

インプラント治療は、私は本当に素晴らしい治療だと思います。もちろん、歯を失ったら全てインプラントが最良な治療なんて述べるつもりはありません。患者様によって治療方法のご希望も様々です。入れ歯で対応できるならもちろんそれも立派な治療ですし、今回のように、左下には保険のブリッジで十分に噛めるように治療できました。全ての治療法にはメリット・デメリットがあり、その内容を十分にご説明するよう心がけております。

ただ今回の治療に関して、右下奥歯には、やはり噛むことを一番に考えるならインプラント治療が最適です。このように、状況に応じて適材適所の治療選択ができることは、当院の強みであり、患者様のご希望に沿った形で、治療終了後に笑顔になって頂けるのは、歯科医師を行っていて最高の瞬間です(^^)/

 

second opinionの重要性です。噛むと痛いなど、歯が痛いのには原因があります。それに対して、気のせいでは説明がつかないことは多くあると思います。

当院では、拡大鏡の使用で何倍にも歯牙を拡大し、必要に応じてCTでの精密検査を実施しております。それでも原因がわからないことはあるかもしれませんが、わかることの方が多いです。

ですので、何か歯に関して悩みや不安がある方は、一度他の先生の意見を聞いてみると、思いがけない発見があり、今までの我慢してきたお悩みを解決できるかもしれませんよ(*^-^*)

実際、今回の患者様の病院を変えることに最初は躊躇したと仰っていましたが、治療終了時には本当に素敵な笑顔で現在も定期健診にお越し頂いております(*^-^*)

 

長くなりましたが、今この内容を読んでくださった方の少しでもお役に立てれば幸いです。

歯のことで何かお悩みがございましたら、ぜひ一度、アールデンタルクリニックでご相談下さい(^^♪

 

PAGETOP