2019年4月12日

こんにちは!
池田市阪急池田駅前 アールデンタルクリニックです。
今日の診療は午前中インプラント手術でした(^^)/
カウンセリングの結果、今お使いの入れ歯が合わず、インプラントを併用した外れない入れ歯をご希望され、本日インプラント手術を行いました。
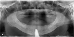
【術前】
【術後】
本日の手術時間は約1時間。
術後CTも撮影し、問題なく手術終了を患者様と確認しました。
手術後の患者様、”痛くないわ”と仰って頂けました。
2か月後、外れない入れ歯を作製していきます!
もうしばらく、インプラントが生着するまでお待ちくださいね(*^-^*)
最終的にはこんなイメージ!!!


・会話や食事の際に外れる
・噛んだら痛くて食事が満足にできない
・入れ歯が大きいのが嫌なので、小さくできないのか
などなど、様々な問題点を解決してくれるインプラント併用の入れ歯。
来院して頂けば、模型でどれぐらい外れないのか、他の症例写真・実績はどうなのか、具体的にお話が可能です(^^)/
お話だけでも、もちろん大丈夫です!
お気軽にご相談だけでもお越しください(^^♪
相談料は無料です(^^♪

