外れない入れ歯の患者様、治療終了しました(^^)/|池田市・川西市・北摂の歯医者|アールデンタルクリニック

〒563-0055大阪府池田市菅原町2番6号 エイコービル1階

072-736-9324

WEB予約
下層MV(PC)

外れない入れ歯の患者様、治療終了しました(^^)/

外れない入れ歯の患者様、治療終了しました(^^)/|池田市・川西市・北摂の歯医者|アールデンタルクリニック

2019年5月22日

外れない入れ歯の患者様、治療終了しました(^^)/

こんにちは!

池田市阪急池田駅前 アールデンタルクリニックです。

 

本日、以前から治療を行っていた患者様が無事に治療終了を迎えました(^^)/

その素敵な笑顔がこちら。

私、院長の村尾と一緒に写真を撮って頂きました(*^-^*)

K様、本当に有難うございました。また、治療お疲れさまでした!

 

今回、初診時に下の入れ歯が動く、噛めない、すぐ外れて困っているとのことで来院されたのは今年1月の下旬でした。

当院の外れない入れ歯に興味をもってきてくださったとのことでした。

【初診時の下顎のお口の写真】

2本、歯が残ってはいるが、かなり厳しい状態・・・

ただ、ご希望としてインプラントは希望しないとのことでした。

 

さてさて、それではこの残った歯を最大限まで治療しましょうとなり、その結果がこちらです

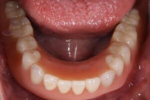
【治療後の下顎のお口の写真】

 

 

 

歯周外科・根管治療などを施術し、ご希望通りの状態まで完成することができました(*^-^*)

K様から頂戴したお言葉は

①外れなくなった!

②ご飯も以前よりしっかり食べれるようになった!

などなど、うれしいお言葉、有難うございます(^^♪

 

来院して頂くと、このような治療に関してさらに詳細にお伝えすることができます!

入れ歯でお悩みの方は、ぜひ一度、相談にお越しください(^^♪

 

今後も、患者様のお悩みを理解し、お一人でも多くの方に喜んでいただけるよう努力して参ります。

アールデンタルクリニックを宜しくお願い致します。

 

【注意事項】

・今回の写真は全て患者様に許可を頂いた上での掲載を行っております。

・治療内容によっては、歯が残せない場合は同じ治療ができない場合があります。

・治療中、疼痛などを伴う場合があります。

 

PAGETOP