2020年5月26日

こんにちは!
池田市阪急池田駅前 歯科 アールデンタルクリニックです。
今回は6歳の患者様の矯正治療のご報告です。
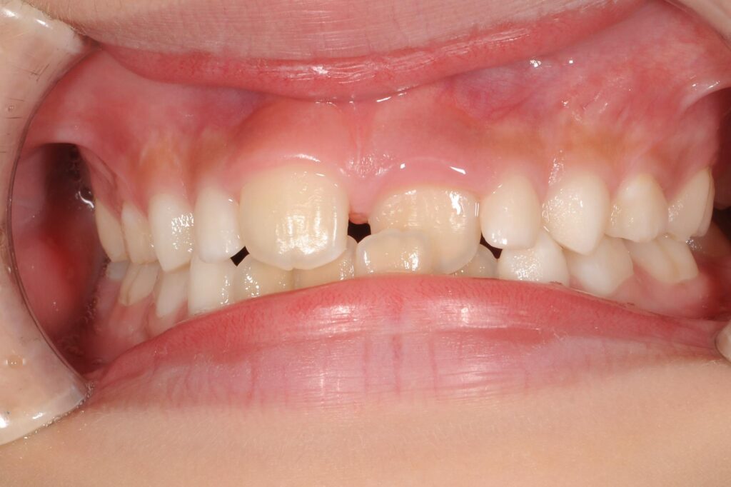
まずは術前の状態です。
【矯正前の状態】

問題点は、写真向かって右の前歯が下の歯に噛みこんでしまっています。
この状態を放置すると、上の歯の骨の成長を阻害し、大人になった時にそこだけへこんでしまいます。
早急にこの状態を解除する必要があり、治療開始することになりました。
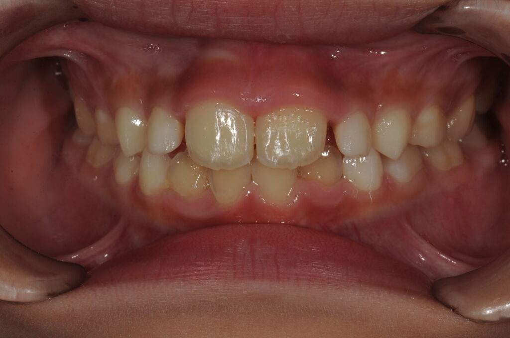
以下に術後の状態を示します。
【矯正治療後の状態】

いかがでしょうか。
また、治療期間はなんと1か月です!
使用した装置を示します。
【今回使用した装置】

リンガルアーチという装置です。
これを装着し、ご両親のお話では数日で下の歯を乗り越えたとのことでした!
一旦ここまでで、この方は経過観察を行っております。
よくこんなご質問を伺います。
”何歳から子供の矯正はした方が良いのですか??”
この答えは、正直お子さんの状態によって様々です。
具体的に3歳頃から始める場合もあります。もちろん、上記のような装置ではなく、簡略的なものですが。
やはり大いのは7~8歳だと思います。
また、今回の患者様は、ここで一旦経過観察ですが、多くの場合は、顎が小さく、大人の歯が生えてきたときにスペースが足りない場合が多く見受けられます。その場合は、ここから、スペースの獲得のため、顎を広げる装置を用います。以下に示します。

このように様々な装置があります。
当院では、年齢や生え方に応じて、取り外し式の装置や、大人にも使用するインビザラインなど様々な装置で対応しております。
幼少期から行う矯正治療のメリットは、将来大人の歯が生えそろってから矯正を行う場合、健康な歯を抜歯しなければどうしても綺麗な歯並びにならないことが多いのですが、抜歯を回避できる可能性が増大します。(ただ、絶対ではありません。)
最近、このような装置を用いた小児期(小学生)の矯正治療のご要望が当院では増えてきております。
どのような装置が最適なのかは診察させて頂ければお話することもできます!
お子様の歯並びで不安がある方は、ぜひ一度ご相談下さい。
ご予約はホームページからWEB予約 もしくは
当院 072-736-9324
までご連絡をお願い致します。
綺麗な歯並びで最高の笑顔をご提供します(^^♪

