2021年4月05日

こんにちは!
池田市阪急池田駅前 歯医者 アールデンタルクリニックです。
今回は上顎の小臼歯を1本抜歯し、インビザライン(マウスピース矯正)のみで治療を行ったご報告です。
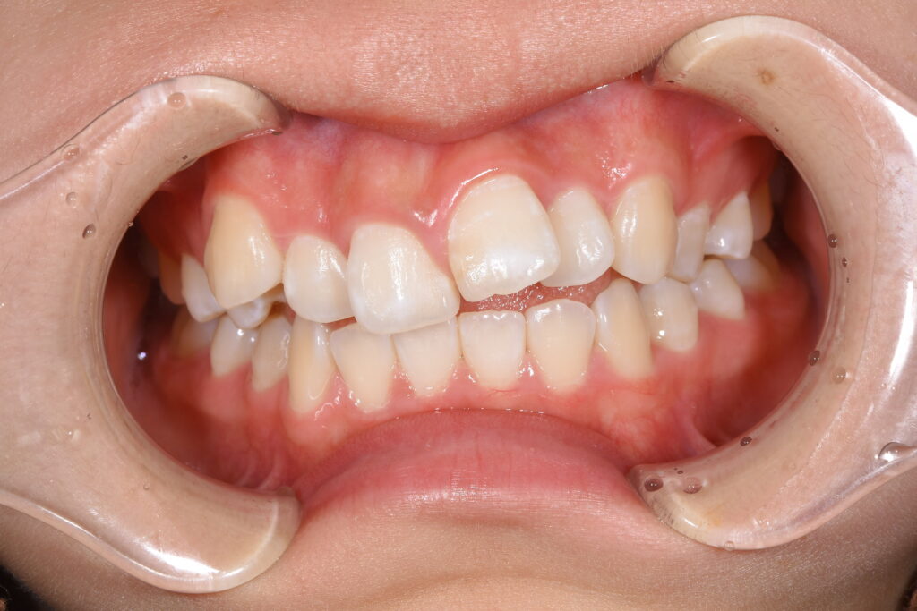
まずは初診時の状態です。
【初診時】

問題点を列挙します。
①奥歯しか噛んでいない
②叢生(がたつき)を認める
③歯を並べるにあたりスペースが不足している
上記理由から上顎の歯を1本抜歯し、インビザラインで治療を開始しました。
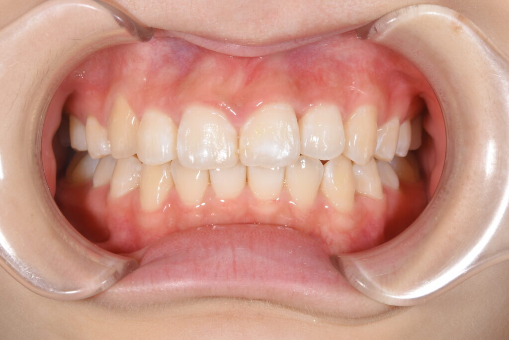
治療開始約1年6カ月です。
【治療終了時】

見た目・かみ合わせの改善ができました。
患者様もきれいになったと喜んで頂けました(^^♪
患者様からの質問で、矯正を行うにあたり、抜歯が必要かどうか、質問を受けることが多いです。
今回は抜歯を行うかどうかの私の考えを記載していきます。
抜歯を行う治療を最初からご希望される患者様はいらっしゃらないと思います。私も、まずは抜歯を行わず治療ができないか治療計画を立案します。ただ、矯正治療を行うにあたり何が何でも抜歯を行わず治療を行うと、ものすごく出っ歯で治療を終了せざるを得なくなることがあり、その場合は患者様に理由を視覚的に説明しながら、なぜ抜歯が必要なのかお話させて頂くようにしています。
抜歯の目的は、歯を並べるスペースの獲得です。家で例えると、30坪の土地に35坪の家を建てようとします。無理ですよね。そこで30坪に収まるように35坪の家の大きさを5坪減らすことを考える、その5坪の削減をどのように行うかがスペースの獲得方法というわけです。矯正に置き換えると、30坪の顎の大きさに対して、35坪の歯と考えて頂ければと思います。(わかりくければすいません)。そこで患者様によってその顎の大きさ・歯の大きさが異なるため、様々な選択になるのです。
スペースの獲得のためにできることは以下の方法です。
①歯を全体的に後ろに移動させる
②歯と歯の間を削合(0,5mmを限度とします)する
③全体的に顎を広げる
④それでも歯を並べるスペースがなければ抜歯を選択する
私はこのように抜歯するかどうかを考えています。
最近は抜歯をしなくてもきれいに並べることができることもインビザラインのおかげで増えてはきました。ただ、全てが可能かというと、上記に記載したように不可能な場合は抜歯と断言しております。
歯並びでお悩みの患者様!
ぜひ一度、無料カウンセリングへお越しください。
お待ちしております(^^♪

