根管治療(歯の根の治療)|池田市・川西市・北摂の歯医者|アールデンタルクリニック

〒563-0055大阪府池田市菅原町2番6号 エイコービル1階

072-736-9324

WEB予約
下層MV(PC)

根管治療(歯の根の治療)

根管治療(歯の根の治療)|池田市・川西市・北摂の歯医者|アールデンタルクリニック

2019年4月06日

根管治療(歯の根の治療)

こんにちは!

池田市阪急池田駅前 アールデンタルクリニックです。

 

今日はかなり温かく、絶好のお花見日和ですね(*^-^*)

過ごしやすい季節の到来に喜んでいます(^^♪

 

さて、本日は根管治療の患者様です。

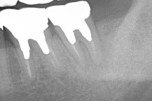
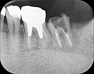
歯の根が虫歯になり、化膿していました。一般的に、一度神経を除去した歯の再治療で、化膿するまで状態が悪化すると、治療後の成功率(治癒率)が悪くなると、いろんなデータが出ています。

 

当院の取り組みとして、高倍率の拡大鏡を使用することで、裸眼と比較するとかなり細部まで確認することができます。その結果が、こちらのレントゲン写真。

【術前】

【術後】

 

画面向かって一番右の歯です。

今回の治療で困難なことは下記の2点。

①かなり太い土台が入っているため、除去する際、歯に穴があいてしまう可能性がある。そうすると、抜歯  に至るケースもある。

②根の中の虫歯を可能な限り除去する必要がある。

 

①に関しては高倍率の拡大鏡の使用

②に関しては、特殊な器具(ニッケルチタンやダイヤモンドの超音波チップ)の使用や薬品の使用

 

上記に記載した方法で対応しました。

全て保険診療です。

 

ここまで1本の歯にこだわることで、現段階では抜歯せずに差し歯をすることが可能になりました。根管治療(歯の根の治療)の再治療はとても困難を極めることが多く、正直、全ての歯を治癒させることは難しいと感じております。

ただ、様々な最先端の方法・道具を駆使することで、保険診療でも当院ではここまで対応できるのです!

治療を繰り返すも、なかなか痛みが取れなかった患者様がsecond opinionで来院され、痛みが治まり喜んで下さったときは、本当に私も頑張ってよかったと喜びを感じる瞬間でした(*^-^*)

 

このように、当院で今の悩みを解決できる方法があるかもしれません。

歯のお悩みを抱えた患者様!

ぜひ一度、ご相談下さい(^^♪

PAGETOP