2019年11月07日

こんにちは!
池田市阪急池田駅前 歯医者 アールデンタルクリニックです。
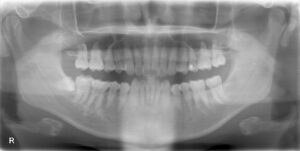
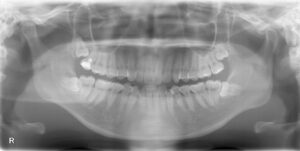
本日は、インプラント2次手術、親知らずの抜歯が2件と外科が多い日でした。
その中で親知らずの抜歯のご報告です。


共に、画面向かって左下一番奥の親知らずの抜歯です。
2人とも歯茎の下に完全に埋まっておりました。
処置時間は麻酔終了後 20分です(*^-^*)
術後の腫れや痛みを最小限少なくできるよう、歯茎の切開や骨の開削は最小限に行い、それを可能にしているのは高倍率の拡大鏡を使用しながらの抜歯処置を行っているからです。
患者様のお声として
【もう終わったんですか!?痛くないし全然楽でした!】
大変うれしいお言葉、有難うございます(^^)/
親知らずは、痛みや腫れがでると口があかなくなったり、のどが痛いなど苦痛を伴います。
また、女性の場合は妊娠中などに免疫力が低下し、腫脹することもあります。
現在、抜歯を検討されている方は、ぜひ一度当院へご相談下さい。
期待に応えられるよう、最大限の配慮で治療を行って参ります(^^)/

