2020年5月26日

こんにちは!
池田市阪急池田駅前 歯科 アールデンタルクリニックです。
緊急事態宣言が解除されましたが、みなさんはいかがお過ごしでしょうか。
当院では、引き続きコロナ対策を徹底して継続し行って参ります。
また、当院は全室 半個室・完全個室ですので安心してお越し下さい!
さて、本日は当院を開院してからスタートした患者様の矯正治療をご紹介します。
まずは術前の状態をお見せ致します。
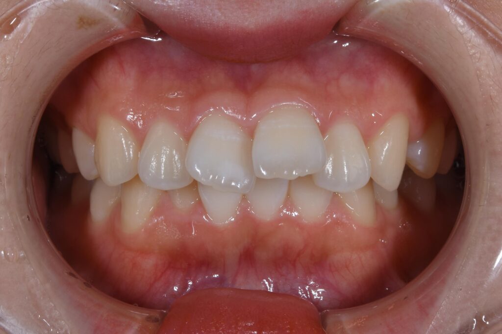
【矯正治療前】



いかがでしょうか。
この患者様のお悩みは出っ歯。横からの写真で、出具合が顕著に確認できます。
治療計画として小臼歯を抜歯して歯を並べることにしました。
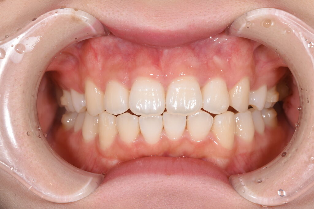
以下に治療1年後の写真です。
【矯正治療1年経過時】



今回の矯正治療は針金ではなく、インビザラインという透明なマウスピース矯正で行っており、一切針金は使用しておりません!
先生の考え方でインビザラインでは抜歯を行うと歯が並ばないという先生もいらっしゃいますが、このように当院では抜歯を行ってもインビザラインで綺麗な歯並びを獲得できます(^^)/
もちろん、インビザラインが完璧な装置だと申し上げることはありません。針金矯正・インビザライン矯正各々に利点と欠点があると考えております。
その利点欠点を考えて、当院ではほとんどの矯正をインビザラインで行っております!
八重歯・ガタガタ・出っ歯など多岐に対応可能です。
最近では、本当に当院で矯正治療をスタートする方が増えてきました。無料カウンセリングを行っておりますので、その際にその利点・欠点を包み隠さずお話しするようにしております。
また、以下に装着時の写真を示します。
【インビザライン装着時】

【装置の写真・インビザライン】

このように、インビザラインでの矯正治療が増えてきた要因として、以下のように考えます。
①針金と違い、見た目が良い
②痛みが少ない
③通院回数が少なくて済む
④total fee制度で、毎回の調整料がないので明瞭会計
⑤年齢の制限が少ない(当院では8歳から65歳までの方がインビザラインを行っています)
などなど、当院でインビザラインを行うメリットを挙げてみました。
かくして、院長の私も、インビザライン矯正を30歳を過ぎて始めた経験があります。
ですので、実際に使用した感想・苦労したことなども実体験をお話できますよ(^^♪
私も針金矯正は見た目も悪く調整に病院に通う期間も長いので嫌だったのですが、このインビザラインに出会うことができ、矯正したという流れです(*^_^*)
歯並びでお悩みの患者様!
少しでも自分の歯並びを改善したいと悩んでいらっしゃるのなら、一度是非、ご相談下さい(^^♪
ご予約ご希望の患者様は、
ホームページからWEB予約もしくは
お電話072-736-9324
まで、宜しくお願い致します。

