2021年2月26日

こんにちは!
池田市阪急池田駅前 歯科 アールデンタルクリニックです。
本日は矯正治療を終了された患者様のご紹介です(^^)/
初診時、歯周病・虫歯も進行しており、まずは初期治療として歯周病治療・虫歯治療を行いました。
その後、歯並びの改善を行うため、インビザライン(マウスピース矯正)を行いました。
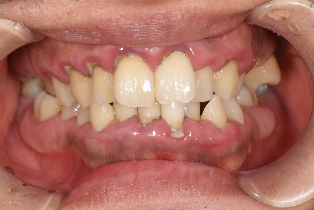
まずは初診時の状態です。
【初診時】



①まずは歯周病治療として歯石除去・歯磨き指導を徹底して行いました。
②虫歯治療・保存が困難な歯牙、親知らずの抜歯処置を行いました。
③歯並びに関して、問題点は歯列弓の狭窄を認め、歯がガタガタになってしまっています。また、上顎の歯が突出してしまい、出っ歯になっています。
以上の歯並びを改善するべく、針金は一切使用せず、インビザライン(マウスピース)のみで矯正治療を行いました。
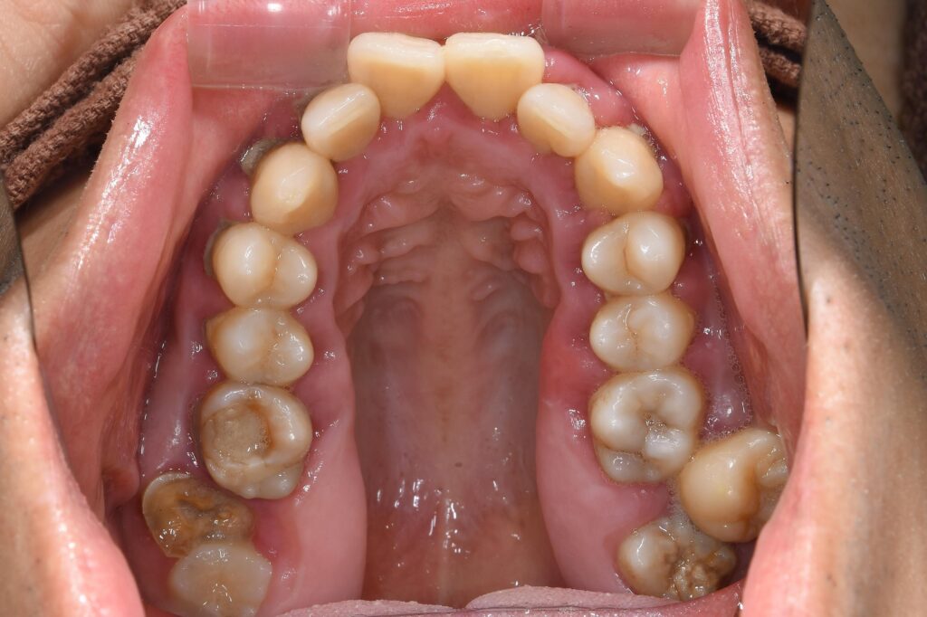
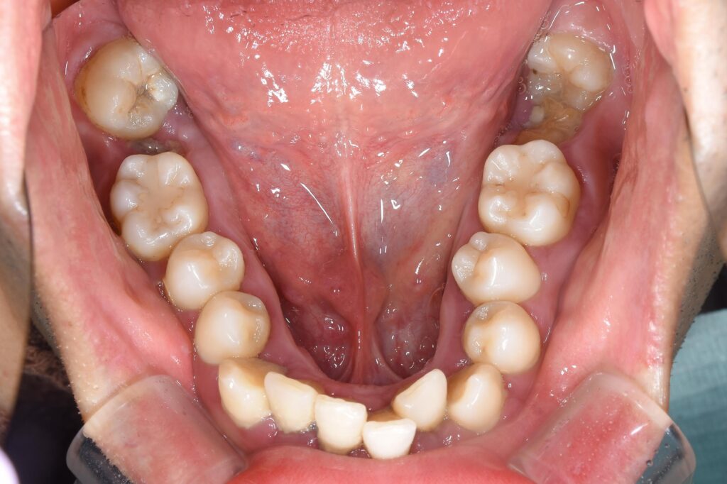
以下に術後写真です。
【術後(矯正終了後)】



治療期間は約1年弱。
治療中に大きなトラブルもなく、治療終了を迎えることができました(^^)/
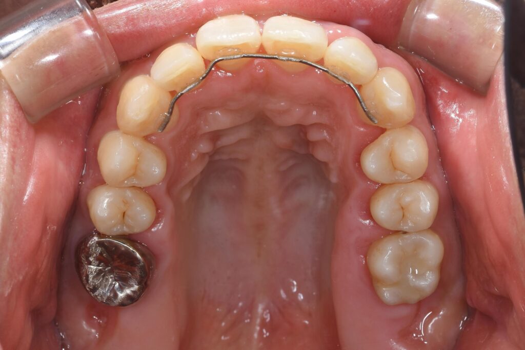
矯正終了後には、保定装置(リテーナー)が必要です。
保定装置とは、矯正終了後に後戻りしないように何か装置を必要とします。
今回は裏側に針金を固定装置として選択し、接着剤で固定しております。
歯並びを改善したことで、歯磨きもしやすい環境を獲得することができ、虫歯リスクも軽減できたと思います。
患者様は、長年歯医者には通院しておらず、勇気を振り絞って来院されたそうです。
当院は、歯並びだけを整える医院ではありません。
上記のように、歯周病治療・虫歯治療・横向きに生えた親知らずの抜歯・インプラントなど全て院長が対応しております。
そのため、お口全体の治療計画の立案が可能になり、今回の結果を得られたと考えております。
何か一つに特化することは大変素敵なことだと思います。
ただ、歯並びのことはわかるけど、他のことはわからいない、また、虫歯治療はできるけど矯正は全くわからない、抜歯など、外科処置はできないなどは私は嫌だと考え、様々な勉強会への参加や開院前に勤務した医院で修業を積みました。
これが当院での強みです。
歯並びに関して、針金矯正以外でも、このような選択肢が現在は可能となっています。
興味のある方は、ぜひ一度、ご相談下さい(^^♪

