2021年2月12日

こんにちは!
池田市阪急池田駅前 歯科 アールデンタルクリニックです。
本日は矯正治療の途中経過のご報告です。
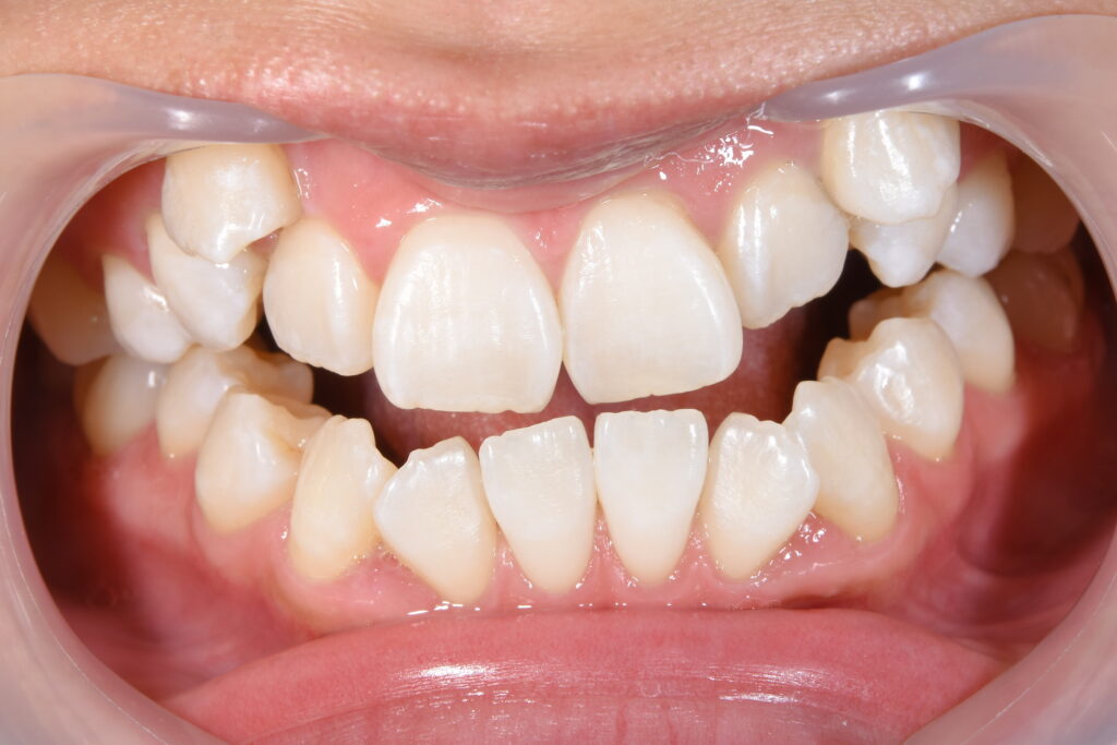
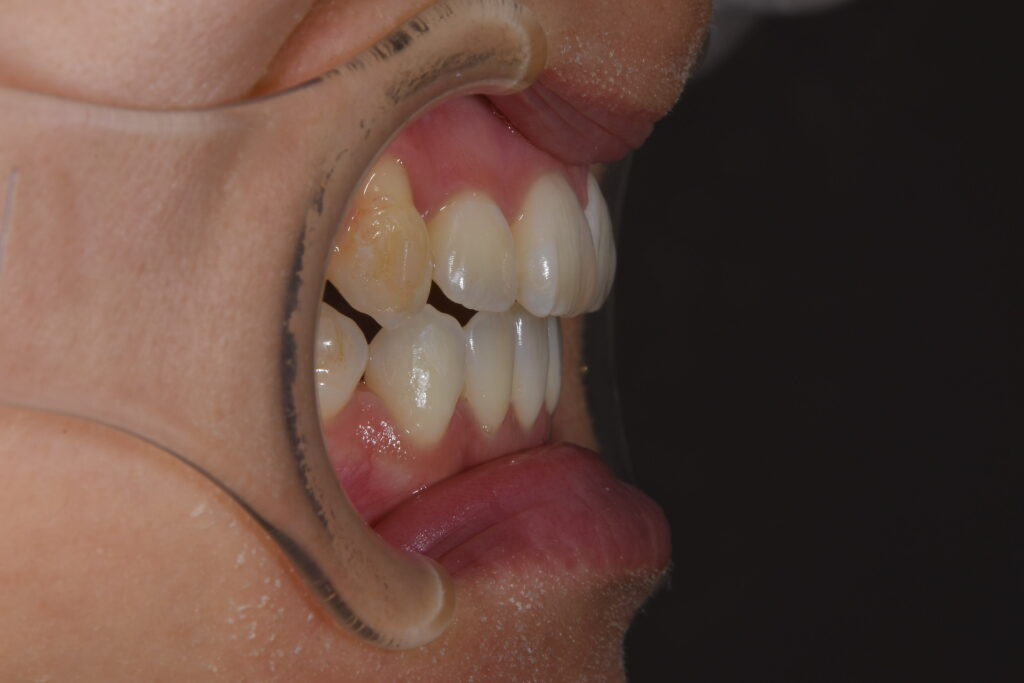
まずは初診時です。
【初診時】


今回ご紹介の患者様の問題点
①叢生(歯のがたつき)→清掃性が悪く将来虫歯・歯周病リスクが高くなる
②開口(奥歯しか噛んでいない)→かみ合わせが原因で、将来的に奥歯が痛くなる
③審美的問題
以上の問題点より、矯正治療を開始致しました。
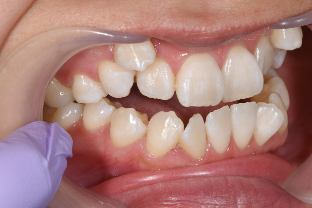
今回の治療計画は上下小臼歯の抜歯を行いました。
治療装置はインビザライン(マウスピース)です。針金は使用しておりません。
矯正開始1年の状態です。
【治療開始1年】



開口・抜歯矯正と治療難易度は高いですが、患者様がしっかりとマウスピースを装着して頂けているのもあり、1年でここまでの状態に改善しております(^^♪(もちろん、この状態から最終の状態へもうしばらく治療は必要です!)
矯正治療において、どうしてもスペースがなければ抜歯が必要になるケースもありますが、インビザライン矯正(マウスピース矯正)でここまでかみ合わせもしっかり改善することが可能になります。
ここで、マウスピース矯正の利点・欠点を列挙します。
【マウスピース矯正の利点】
①装置が透明で見た目が良い
②着脱可能なため、清掃性がよい
③針金と比べて痛みが少ない
④針金がとれたなどの緊急を要するトラブルが少ない
⑤コンピューターシュミレーションを行うので、最終の歯並びを画像で確認することができる
⑥通院頻度が2,3カ月に1回で良い
【マウスピース矯正の欠点】
①歯並びのがたがた度合いが強いと困難な場合がある
②1日20~22時間のマウスピースの装着が必須である
歯並びを改善するための治療なので、マウスピースだから簡単というわけではありません。特に針金と違って食事以外の時はずっと継続して装置を付けて頂く必要があります。ただ、針金矯正と比較すると私は利点が多いと考えており、自分自身もこのマウスピース矯正で治療を行いましたから、自分の経験も患者様にお伝えしています。
最近、歯並びの相談を頂くことが多くなりました。初診当日は、矯正の方法や当院での症例を見て頂くようにしております。もちろん、最初のご相談に関しては無料相談とさせて頂いております。(レントゲンは撮影致しませんので、具体的に精密検査に進む場合は治療費が必要です。)
当院では虫歯治療・抜歯(親知らずも含めて)全て院長が対応しているため、虫歯・抜歯は他院でして下さいなどはございません。全て当院で対応可能です。また、症状によっては部分矯正も取り扱っております。これが当院の強みと考えております。
私の私見ですが、自分は出っ歯でした。それを一生気にして過ごすのは嫌だなと思い立ち、矯正治療を行いました。治療後、やってよかったと自信をもってお伝え出来ます。ただ、矯正治療は治療期間が長くなることが多いため、期間についても十分にご説明致します。
歯並びでお悩みの患者様、ぜひ当院でのカウンセリングへお越しください(^^♪
お待ちしております。

