2019年11月06日

こんにちは!
池田市阪急池田駅前 アールデンタルクリニックです。
当院が推奨するマウスピース矯正です。(インビザライン)
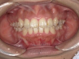
まずは初診時の写真を見て下さい。
【初診時】



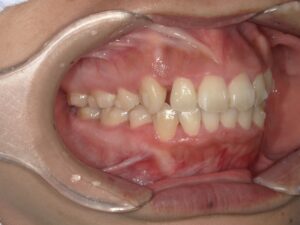
まだ、矯正治療中ですが現在の写真を以下に示します。
【現在の状態】


どうでしょうか。
この患者様は、矯正診断時、骨格的な不調和が大きく手術を併用した矯正治療が必要だと診断されておりましたが、なんとか手術なしでできないかとご相談を頂き、可能なところまでやりましょうと矯正治療がスタートしました。
以下にコンピュータシュミレーションの最終予想を示します。
【治療終了シュミレーション】


このように、当院ではマウスピース矯正にてここまでの治療が可能です。
マウスピース矯正は、先生によって移動方法など細かく計画しなければ治療はうまくいきません。
その実績を当院院長は持ち合わせております!
矯正治療をお考えの患者様、ぜひ一度当院へご相談下さい(^^♪

