2019年7月11日

こんにちは!
池田市阪急池田駅前 アールデンタルクリニックです。
昨日、本日、親知らずの抜歯を行いました。

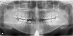
昨日行ったのは、画面向かって右下の親知らずです。
この親知らずの影響で手前の歯が大きな虫歯になっていました。
患者様とご相談の上、問題なく抜歯終了しております(^^♪
下の横向きに生えた親知らずですが、大きな病院に紹介なども必要ありません!

次の患者様は、画面向かって左上の親知らずです。
麻酔を行い、ものの30秒で抜歯できました(^^♪
【えっ、もう終わったんですか?】
これが処置を終えた際の患者様のお言葉です。
緊張なさっていましたが、処置後には痛みもなく満面の笑みでよかったとおっしゃっていました。
このように、当院では多岐にわたり親知らずの抜歯処置が可能です。
今まで、親知らずの抜歯となると大きな病院に紹介されることも多いのではないでしょうか。
大きな病院に行くとなると、お仕事の都合がなかなかつかない、時間が合わないなど、不都合も多いと思います。もちろん、私も状況によっては紹介させて頂くことがないとは言いません。
ただ、患者様のライフサイクルに合わせ、ほとんどの親知らずは当院で対応可能ですよ(^^♪
私は研修医時代、口腔外科に勤務しており、今まで1000本以上の親知らずを抜歯してきました。もっと多いかも入れません。
当院では、抜歯の際のリスクも十分にご説明致します。
生え方によっては、最新のCT装置をご用意しており、必要に応じて撮影を行っております。
もちろん保険診療で可能ですよ(^^)/
親知らずでお悩みの患者様!ぜひ一度、当院にご相談下さい。
親知らずの抜歯は私の得意分野です!
あなたの親知らずの悩みを解決致します(^^)/

