2019年3月25日

こんにちは!
大阪府池田市阪急池田駅前 アールデンタルクリニックです。
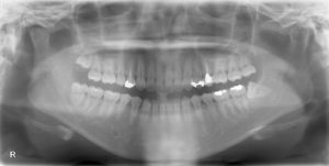
先日、左下顎の横向きに生えた親知らずと上顎の親知らずを1日で抜歯しました。(下記のレントゲンで画面向かって右の上下の一番奥の歯です。)全ての処置を30分少しで終了することができました。患者様は、不安や恐怖心もあったと思いますが、お疲れ様でした(^^)/
抜歯後、若干の痛みはあったものの、特に腫れることもなく過ごせたとのことでした。
冬が終わり、少しずつ温かい季節になってきました。そうすると、だんだん親知らずが痛んでくる患者様が多く見かける気がします。
そうなる前に、一度抜歯を検討してみませんか?
当院院長は1000本以上の親知らずの抜歯経験があり、その経験と処置を行う際に拡大鏡を装着して処置をすることで、可能な限り侵襲の少ない、痛み・腫れをできる限り少なく抑える工夫を行っております。
当院では、ほとんどの親知らずに対応可能です。一般的には、口腔外科に紹介が必要なことが多いとは思いますが、なかなか平日の日中に時間を割くことができない方も多いのではないでしょうか。
そのようなお悩みを当院で解決しませんか?

