2019年7月19日

こんにちは!
池田市阪急池田駅前 アールデンタルクリニックです。
今回は、重度歯周病・虫歯の患者様です。
【歯がぐらぐらして満足に食事ができない、他院で全て抜歯して入れ歯しかないと言われた】
その写真が下記の写真です。

確かにその診断も一つの結果だと思います。
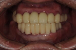
ただ、患者様のなんとかしてほしいとの思いを最大限考慮し、考えに考えた結果が以下の結果です。

どうですか。
インプラントは1本も使用しておりません。
全て患者様の歯を使用しております。
このように、患者様によってご希望は様々です。
そのご要望にできるだけ対応できるよう、日々歯科治療の技術・知識を向上して参りました。
どんな状態でも改善策はあると思います。
今、歯についてお悩みがある患者様。
是非、このような治療に対応可能な当院へご相談されませんか。
あなたの悩みを解決させて下さい(^^♪
【注意事項】
・すべての歯を保存できるかは、検査を行う必要があり、場合によっては抜歯する必要があります。
・必要に応じて、満足に食事をするためにインプランが必要になることもあります。
・上記の治療は保険外診療です。

