7歳の矯正治療(^^)/|池田市・川西市・北摂の皆さまに寄り添う、待ち時間0分・痛みに配慮した安心の歯医者

〒563-0055大阪府池田市菅原町2番6号 エイコービル1階

072-736-9324

WEB予約
下層MV(PC)

7歳の矯正治療(^^)/

7歳の矯正治療(^^)/|池田市・川西市・北摂の皆さまに寄り添う、待ち時間0分・痛みに配慮した安心の歯医者

2020年6月26日

7歳の矯正治療(^^)/

こんにちは!

池田市 阪急池田駅前 歯医者 アールデンタルクリニックです。

 

今回は7歳お子さんの前歯の矯正治療のご報告です。

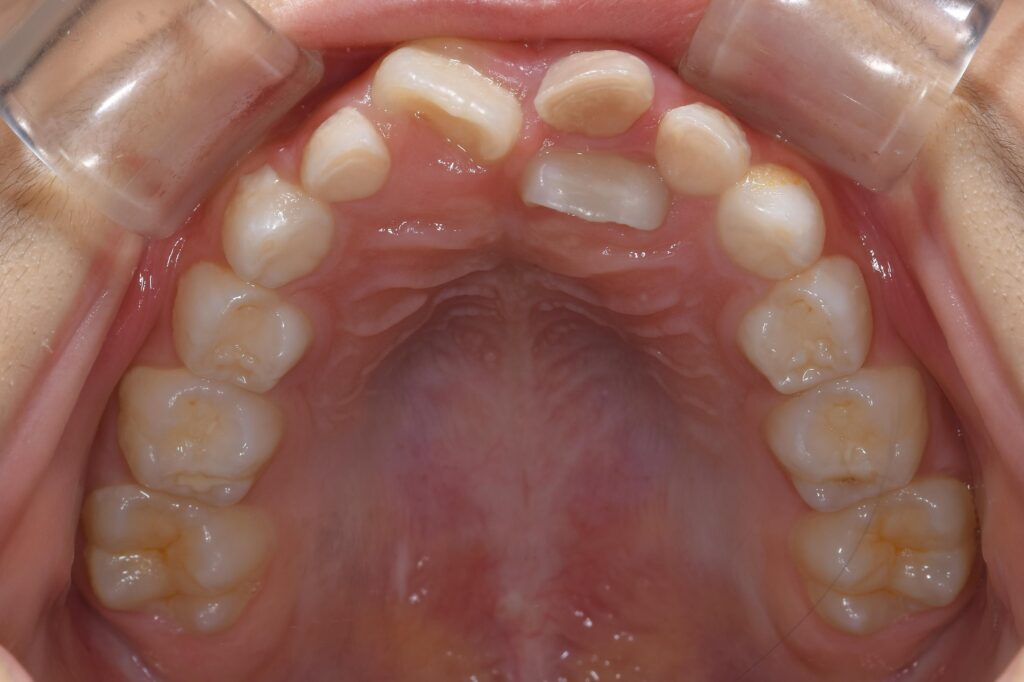
まずは、初診時の上顎の写真です。

【矯正治療前】

画面向かって右の前歯が内側に生えており、反対側の前歯とかなり位置がずれています。

そのため、年齢的に抜けてるべき乳歯が残存しています。

この方の問題点は、以下に列挙してみます。

【問題点】

①このままだと前歯乳歯が長期間残ってしまう。

②永久歯の前歯が内側にあるせいで、骨の成長を抑制し、歯茎がへこんでしまう。

③他の永久歯が生えてくる際、後ろから押されてガタガタになる可能性が高い。

【原因】

①画面向かって右上前歯は、ちょうど下の歯に噛みこんでしまってロックした状態になっている。

 

以上の理由で、早期に前歯を前にだす矯正治療を開始することになりました。

術後の写真です。

【矯正治療後】

約1か月でこのようになりました(^^)/

ちなみに歯を動かすにあたり、乳歯は抜歯しております。

 

今回使用した装置は以下のものです。

(※今回の患者様の口腔内とは異なります。)

 

使用した装置はリンガルアーチという名称です。

早い患者様だと1~2週間で治療終了することもあります(^^)/

今後は、顎が小さく、将来的に永久歯が生えるスペースがないため、拡大床という可撤式の装置を使っていく予定です(^^)/

 

よく、こんなご質問を頂きます。

”矯正治療は何歳から行えばいいですか?”

 

以前のブログにも記載したことがあるのですが、一般的には6~8歳頃からスタートすることが多いです。あくまで一般論で、患者様の状態によって一番早い方だと3歳から簡易的な装置を使用することもあります。

 

また、永久歯が生えそろってから矯正したら良いのではないかとのご質問も良く頂くのですが、そこから矯正するとガタガタを改善するために健康な歯を抜歯しないとできないことも多くあります。そのような可能性を少しでも少なくすることが可能になるのです(^^)/

 

アールデンタルクリニックでは子供矯正も得意としております。

お子様の歯並びでお悩みの方は、ぜひ一度、ご相談下さい(^^♪

矯正相談は無料で行っております(^^)/

 

 

 

 

 

PAGETOP