2019年4月01日

こんにちは!
池田市阪急池田駅前 アールデンタルクリニックです。
本日はインプラントの手術を行いました(^^)/

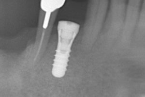
これは本日の手術直後のレントゲン写真です。
最小限の歯茎を切開することで実際の手術時間は30分程度で終了です。
手術直後ですが、ほとんどの患者様は1回痛み止めを服用する程度で、今回の患者様は手術中はうたた寝されておりました(^^♪
”もう、終わったんですか?”
手術後、最初に仰られたお言葉です。
痛みを与えることなく手術が無事に終わりました。
このように、しっかりとした診査・診断のもと、手術を行うことで、手術時間の短縮・その後の腫脹・痛みの軽減に全力で取り組んでおります。また、当院で使用しているインプラントはストローマンという、世界で多くの歴史・実績があるものを使用しており、私院長も多大な信頼を持っております。
インプラント治療は術前の検査がとても大切です。
治療の方法などメリットからデメリットまで全てカウンセリングを行い、ご納得して頂いた上で治療を行います。
インプラントに興味のある患者様は、ぜひ一度、ご相談だけでも来てくださいね(^^)/
全力で、患者様の悩みを解決できるよう、努力致します!

