〒563-0055大阪府池田市菅原町2番6号 エイコービル1階
院長紹介
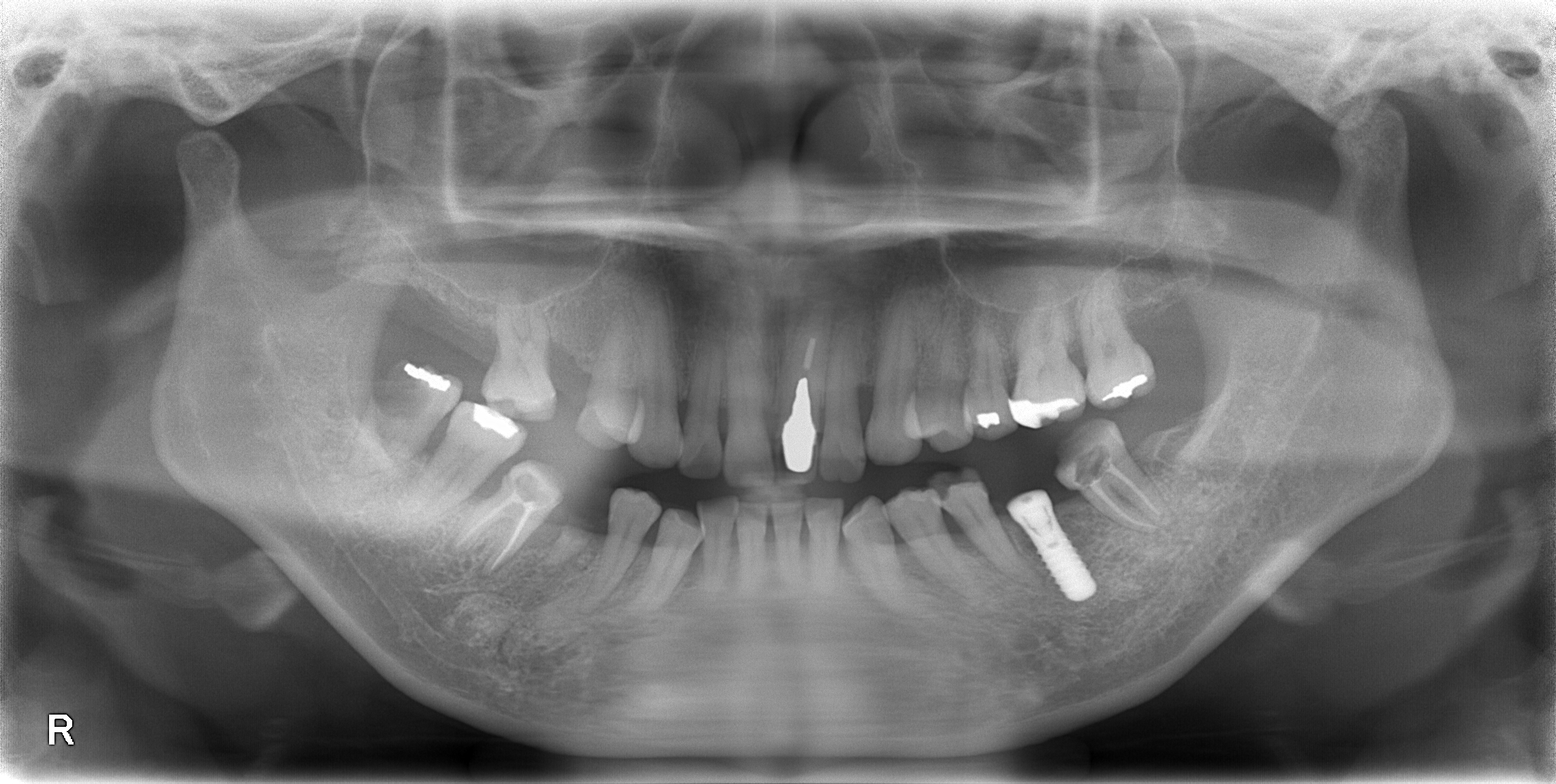
インプラント - 2
2019年9月13日
2019年9月05日
2019年9月02日
2019年4月01日
2019年3月28日
2019年2月25日
人気の記事
重度虫歯からのインプラント・入れ歯治療(*^-^*)
歯茎の下にほぼ全て埋まった親知らずの抜歯
抜歯を行ったインビザライン1年後症例
最近の投稿
矯正治療とセラミックでの全顎治療の1例
前歯1本のセラミック治療
抜歯を伴う矯正治療・インビザライン
カテゴリー